Модуль 1. Общая патологическая анатомия животных
Тема 1.8. Воспаление
1.8.2. Экссудативное воспаление
Лабораторный практикум
Краткий теоретический курс 
 Лабораторный практикум 
 1.1. Серозное воспаление
 Препарат: 1. Серозная пневмония
 Препарат: 2. Серозное воспаление кишечника
 Препарат: 3. Серозное воспаление легких
 Препарат: 4. Ящурная афта
 1.2. Геморрагическое воспаление
 Препарат: 1. Геморрагическая пневмония
 Препарат: 2. Геморрагическое воспаление кишечника
 1.3. Гнойное воспаление
 Препарат: 1. Эмболический гнойный нефрит
 Препарат: 2. Гнойная бронхопневмония
 Препарат: 3. Флегмона подкожной клетчатки
 1.4. Катаральное воспаление
 Препарат: 1. Острый катаральный энтерит
 Препарат: 2. Хронический катар тонкого отдела кишечника
 Препарат: 3. Катаральная бронхопневмония
 1.5. Фибринозное воспаление
 Препарат: 1. Фибринозная (крупозная) пневмония (стадия красной гепатизации)
 Препарат: 2. Фибринозная (крупозная) пневмония (стадия серой гепатизации)
 Контрольные вопросы к теме
  
 К экссудативному воспалению относят такой тип воспалительной реакции, когда из 3-х взаимообусловленных процессов преобладает экссудация (гиперемия, экссудация, эмиграция лейкоцитов. Альтеративной компонент может быть слабым или сильным в зависимости от патогенности действующего фактора. Пролиферативные изменения, особенно в начале воспалительного процесса слабо выражены, интенсивность их нарастает в завершении воспалительного процесса или переходе острого воспалительного процесса в хронический. Экссудативные воспаления чаще всего протекают как острые.  По качественному составу или характеру экссудата различают серозное, гнойное, катаральное воспаление.
 Серозное воспаление
Оно характеризуется обилием и преобладанием в экссудате водянистой слегка мутноватой жидкост, бедной клеточными элементами и богатой белками (3-5%). В отличие от транссудата он мутный, слегка опалесцирующий, а транссудат прозрачный.
 В зависимости от локализации экссудата различают 3 формы серозного воспаления: 
 -  Серозно-воспалительный отек.
 -  Серозно-воспалительная водянка.
 -  Буллезная форма.
 Серозно-воспалительный отек характеризуется скоплением экссудата в толще органа между тканевыми элементами. Чаще встречается  в рыхлой ткани: подкожной клетчатке, в строме органов, межмускульной ткани.
 Причины его - ожоги, воздействие кислот и щелочей, септические инфекции, физические факторы (проникающая радиация) и др.
 Макроскопически серозно-воспалительный отек проявляется опуханием или утолщением стромы пораженного органа, приводящего к увеличению объема органа или ткани, тестоватой консистенции, покрасневший (гиперемия), с кровоизлияниями различного характера. Поверхность разреза также с кровоизлияниями студенистого вида, с обильным стечением водянистого экссудата.
 Серозно-воспалительный отек необходимо отличать от обычного застойного отека, при котором отсутствует макроскопически выраженная гиперемия и кровоизлияния.
 Исход серозно-воспалительного отека зависит от характера и длительности патогенного фактора. При устранении причины, его вызвавшей, серозный экссудат рассасывается, а ткань поврежденная восстанавливается. При переходе в хроническую форму в поврежденном участке разрастается соединительная ткань.
  
  
Рис.118. Серозное воспаление подкожной клетчатки у лошади
   
  
 
Рис.119. Серозное воспаление стенки желудка
  
Микрокартина. 
Под микроскопом в органах и тканях между раздвинутыми тканевыми элементами (паренхимными клетками,  волокнами соединительной ткани) видна -гомогенная,  окрашенная в розоватый цвет (окраска Г-Э) масса с небольшим количеством клеточных элементов (перерожденные клетки,  гистиоциты,  эритроциты и лейкоциты (гиперемия)), т.е. это серозный экссудат, пропитывающий строму органа.
 Серозно-воспалительная водянка - скопление экссудата в замкнутых и естественных полостях (плевральной, брюшной,  в полости сердечной сорочки). Причины те же, что и серозно-воспалителъной водянки, только экссудат скапливается не между клеточными элементами,  а в полостях. Обычно покровы полостей, содержащих серозный экссудат, в отличие от водянки, покрасневшие, набухшие,  с кровоизлияниями различного характера. Сам экссудат мутноватый, слегка опалесцирует желтоватого или красноватого цвета с тонкими нитями фибрина. При отеках покровы полостей так не изменены,  а содержимое транссудат прозрачный.  При трупной транссудации серозные покровы блестящие,  гладкие,  гиперемированные без кровоизлияний и потускнения. А в полости при этом находят прозрачную красную жидкость.  Если причина, вызвавшая серозную воспалительную водянку, устранена,  то экссудат рассасывается, и покровы восстанавливают свою первоначальную структуру. При переходе процесса в хронический,  возможно формирование спаечных процессов (синехий) или полное заращение (облитурация) соответствующей полости. Примерами серозно-воспалительной водянки является перитонит,  перикардит,  серозный плеврит, артрит.
 Буллезная форма 
Это такая форма, при которой серозный экссудат скапливается под какой-либо оболочкой,   в результате образуется  волдырь.  Причинам являются ожоги,  отморожения,  инфекции (ящур,  оспа),  аллергические факторы  (герпес),   механические (водяная мозоль).  Внешние  волдыри различаются размерами. Самые маленькие пузыри    с серозной жидкостью называют империго, более крупные, везикулами,  а обширные, примерами которых являются волдыри при ящуре - афтами. После разрыва пузыря образуется корочка (круста),  которая отпадает после заживления, процесс часто осложняется секундарной инфекцией и подвергается гнойному или гнилостному распаду. Если пузырь не разрывается, серозная жидкость рассасывается, кожица пузыря сморщивается, и поврежденный участок регенерирует.
 Целевая установка темы 
Морфологические особенности серозного воспаления и качественный состав серозного экссудата. Разновидности форм серозного воспаления 
(серозный воспалительный отек, серозная воспалительная водянка, буллезная форма). Этиопатогенез. Исходы, При каких инфекционных заболеваниях 
наиболее часто развивается серозное воспаление. 
Основное внимание уделяется следующим вопросам: 
- Этиопатогенез и морфологическая характеристика серозного воспаления.
 - Разновидности серозного воспаления (серозный воспалительный отек, серозно-воспалительная водянка, буллезная форма) и отличие его от 
застойного отека и асцита.
 - При каких инфекционных заболеваниях наиболее часто встречается серозное воспаление.
 - Исход серозного воспаления и значение для организма.
  
Содержание занятия 
- Беседа с целью ознакомления подготовленности студентов к занятиям. Затем преподаватель поясняет детали.
 - Изучение музейных препаратов, атласа и боенского материала с целью ознакомления с макроскопическими (патологоанатомическими изменениями) 
при серозной пневмонии, серозном гепатите, серозном воспалении кожи (буллезная форма) при ящуре крупного рогатого скота. Студенты, пользуясь 
схемой описания, в виде краткой протокольной записи описывают изменения и устанавливают патологоанатомический диагноз. После чего эти протоколы 
зачитываются и вносятся коррективы в случаях неточного описания.
 - Изучение гистологических препаратов под микроскопом. Преподаватель сначала поясняет препараты с помощью слайдов, затем студенты под 
руководством преподавателя изучают изменения при серозном воспалении легких и тут же сравнивают с отеком легкого. Находят различия. Затем 
препараты серозное воспаление кожи (буллезная форма) при ящуре и серозный гепатит.
  
Перечень влажных музейных препаратов 
- Серозное воспаление легких теленка (серозный воспалительный отек).
 - Гиперемия и отек легких.
 - Серозное воспаление лимфатических узлов при пастереллезе свиней (серозный воспалительный отек).
 - Серозное воспаление кожи при ящуре крупного рогатого скота (ящурная афта), буллезная форма.
 - Серозное воспаление кишечника (серозный воспалительный отек).
  
Изучение препаратов происходит согласно протокольного описания микропрепаратов. 
Препарат: Серозная пневмония
При малом увеличении микроскопа устанавливает, что большая часть альвеол заполнена однородной бледно-розовой массой, и только единичные альвеолы не имеют экссудата, но просветы их расширены, диаметр их равен диаметру 2-3 эритроцитов, отчего в этих местах они узловато утолщены и выдаются в просвет капилляра. В местах, где альвеолы переполнены экссудатом, эритроциты выдавлены из капилляров, капилляры вследствие этого обескровлены. Мелкие артерии и вены так же сильно расширены и заполнены кровью. 
  
 
Рис.120. Серозное воспаление легких: 
1.	Расширение капилляров стенок альвеол (геперемия); 
2.	Расширение просвета альвеол скопившимся экссудатом; 
3.	Гиперемия крупного сосуда; 
4.	Скопление лимфоидных клеток в бронхе
  
При большом увеличении серозный экссудат, заполняющий альвеолы, имеет вид гомогенной или зернистой массы (в зависимости от содержания белка). Такой же экссудат находят в интерстициальной перибронхиальной и периваскулярной соединительной ткани. а также в бронхах. Соединительно-тканные пучки, пропитанные экссудатом, разрыхлены, границы их расширены, отдельные коллагеновые волокна набухшие. 
В экссудате, главным образом в полости альвеол, содержатся в незначительном количестве эмигрировавшие из сосудов полиморфноядерные лейкоциты, которые легко определить по форме их ядер (подковообразная, бобовидная и т.п.), интенсивно окрашенных гематоксилином. Альвеолярный эпителий набухший, во многих альвеолах он слущен и некротизирован. Отторгнутые эпителиальные клетки можно видеть в просвете альвеол вместе с лейкоцитами. Клетки эти довольно крупные, пластинчатой формы, с большим округлым или овальным бледноокрашенным ядром, бедных хроматином. Находясь в серозной жидкости, они набухают, приобретают вместо пластинчатой круглую форму, а в дальнейшем цитоплазма и ядро их лизируются. Часть альвеол содержит в экссудате отдельные эритроциты, проникшие сюда из респираторных капилляров путем диапедеза. 
Как выражение пролиферативных процессов можно отметить появление гистиоцитарных клеток в адвернтиции сосудов и молодых эпителиальных клеток по ходу альвеолярных стенок. Пролиферирующие клетки небольших размеров, ядра их богаты хроматином. Иногда удается также проследить признаки пролиферации эпителия слизистой оболочки, главным образом мелких бронхов. 
В целом серозное воспаление (или воспалительный отек) легких характеризуется воспалительной гиперемией, сопровождающейся выпотом и скоплением серозного экссудата в полостях альвеол, а также серозным отеком интерстициальной периваскулярной и перибронхиальной соединительной ткани. Эмиграция лейкоцитов и пролиферативные процессы слабо выражены. При сильной степени отека серозный экссудат из альвеол поступает в бронхиолы, затем в крупные бронхи, а отсюда в трахею. 
Серозный воспалительный отек, развиваясь лобулярно или лобарно, что является начальной стадией других воспалений легкого (катарального, геморрагического, фибринозного) или же наблюдается перифокально, то есть вокруг фокусов поражения легких при сапе туберкулезе и других заболеваниях. 
Необходимо иметь в виду, что воспалительный отек легких по гистологической картине сходен с застойным отеком легкого. В качестве основных отличительных черт, позволяющих проводить дифференциальную диагностику, можно указать на следующие: 
-содержание в серозном экссудате полиморфноядерных лейкоцитов; 
-при застойном отеке гиперемированы не только респираторные капилляры, но и венозные сосуды (особенно мелкие вены); 
-при воспалительном отеке наблюдается пролиферация адвенти-циальных, эндотелиальных и эпителиальных клеток. 
Макрокартина: легкие неспавшиеся, бледно-серо-красного или темно-красного цвета, тестовидной консистенции, тяжело плавают или тонут в воде, под плеврой и в паренхиме нередко обнаруживаются мелкие кровоизлияния. С поверхности разреза и из просветов перерезанных бронхов выдавливается и стекает пенистая мутноватая жидкость, окрашенная иногда в розовый цвет. При сильном отеке такого же характера жидкость содержится в крупных бронхах и каудальной части трахеи. Поверхность разреза органа гладкая, сочная, светло- или темно-красного цвета, на фоне которого отчетливо выступают расширенные студневидные тяжи интерстициальной соединительной ткани, инфильтрированной серозным экссудатом. 
Макрокартина: легкие неспавшиеся, бледно-серо-красного или темно-красного цвета, тестоватой консистенции, тяжело плавают, чаще тонут в воде, под плеврой и в паренхиме нередко обнаруживаются мелкие кровоизлияния. С поверхности разреза стекает мутноватая, розоватая жидкость, пенистая. При сильно выраженном выпоте серозного экссудата такого же характера жидкость находится в крупных бронхах и каудальной части трахеи. Поверхность разреза органа сочная, светло- или темно-красного цвета на фоне которого отчетливо выступают студневидные тяжи интерстициальной соединительной ткани, пропитанной серозным экссудантом. 
Препарат: Серозное воспаление 
 кишечника (серозный воспалительный отек)
Препарат изучают в следующем порядке. Сначала при малом увеличении находят все слои кишечной стенки и определяют, из какого отдела кишечника сделан срез. Затем, ориентируясь в общей картине поражения, отмечают, что наиболее демонстративно выступают изменения в подслизистом слое, границы которого сильно расширены. Вместо рыхлой соединительной ткани обычного строения здесь находят широко петлистую сеть, образованную тонкими коллагеновыми кусками или волокнами и пучками располагаются бледноокрашенные гомогенные или зернистые массы экссудата. При фиксации он обычно свертывается и представляется в виде нежной сеточки. В экссудате подслизистого слоя обнаруживают единичные клеточные элементы с синим ядром и эритроциты. Скопления клеток наблюдают главным образом, по ходу сосудов, расширенных и заполненных эритроцитами. такого характера экссудат, бедный клетками, можно легко определить как серозный. Отмеченные изменения в сосудах характеризуют резко выраженную воспалительную гиперемию, сопровождающуюся эмиграцией лейкоцитов и диапедезными кровоизлияниями, а скопление в подслизистом слое в большом количестве серозного экссудата указывает на ярко выраженный экссудативный компонент в картине воспаления в целом. 
  
 
Рис.121. Серозное воспаление кишечника: 
1.	Серозный воспалительный отек между криптами; 
2.	Слущенный покровный эпителий крипт; 
3.	Серозный отек толщи слизистой
  
При большом увеличении можно установить, что клеточные элементы, располагающиеся вокруг сосудов, могут быть отнесены к полиморфноядерным лейкоцитам, среди которых встречаются размножающиеся клетки сосудистой стенки с округлым или овальным ядром, бледноокрашенным гематоксилином. Небольшое количество их свидетельствует о слабопроявляющемся пролиферативном компоненте. 
Переходя к исследованию слизистой оболочки, обращают внимание на покровный эпителий крипт. Он подвергся дистрофии, некрозу (альтеративный компонент) и слущиванию. Крипты имеют вид вытянутых мешковидных бесструктурных (или с плохо различаю-щейся структурой) образований, окрашенных в серо-синеватый цвет. Углубления (просветы) крипт заполнены продуктами распада эпителия. Сосуды слизистой в состоянии воспалительной гиперемии. Толща слизистой местами инфильтрирована серозным экссудатом и лейкоцитами. В мышечном слое отмечают дистрофию мышечных волокон, частично некроз их и скопление между пучками мускулатуры небольшого количества серозно-клеточного экссудата. Последний скапливается также под серозной оболочкой, покровный эпителий которой в состоянии дистрофии и участками десквамирован. 
Анализируя картину поражения кишечника в целом, можно сделать вывод, что она характеризуется развитием острого серозного воспаления. Наиболее ярко выражен серозный отек в подслизистом слое, особенности строения которого (рыхлая клетчатка) способствовали значительному скоплению в нем экссудата, что и вызывало разволокнение и нарушение нормальной структуры подслизистого слоя. Воспалительный отек в остальных слоях кишечной стенки выражен слабо. Кроме подслизистой оболочки, экссудат в значительном количестве деляется также в просвет кишечника. 
Макрокартина: стенка кишечника сильно утолщена (у лошадей до 5-10 см), слизистая гиперемирована, набухшая, тусклая, иногда пронизана мелкими кровоизлияниями. При резком отеке собрана в зыблющиеся складки и валики. На разрезе слизистая и особенно подслизистая представляются в виде студневидных инфильратов бледно-желтого цвета. В просвете кишечника содержится много прозрачной или мутноватой серозной жидкости. 
Препарат: Серозное воспаление 
 легких (серозный воспалительный отек)
При малом увеличении микроскопа устанавливают, что большая часть альвеол в просветах содержит однородную бледно-розовую массу и только отдельные альвеолы или группы их, имея расширенные просветы, свободны от выпота. 
Респираторные капилляры сильно инъецированы кровью, расширены, местами узловато утолщены, вследствие чего выдаются в просвет альвеол. Гиперемия респираторных капилляров не везде выражена, местами можно видеть стенки альвеол неспавшимися, с обескровленными капиллярами как результат давления на них скопившегося в альвеолах выпота или воздуха. Мелкие артерии и вены также сильно расширены и заполнены кровью. 
  
 
Рис.122.Серозный воспалительный отек при гнойном воспалении: 
1.	Серозный экссудат в просветах альвеол; 
2.	Гиперемия капилляров альвеол; 
3.	Гиперемия сосуда.
  
При большом увеличении серозный экссудат, заполняющий альвеолы, имеет вид гомогенной или зернистой массы (в зависимости от содержания белка). Такой же экссудат находят в интерстициальной периобронхиальной и периваскулярной соединительной ткани. а также в бронхах. Соединительнотканные пучки, пропитанные экссудатом, разрыхлены, границы их расширены, а отдельные коллагеновые волокна набухшие. 
В экссудат, главным образом в полости альвеол, содержится в незначительном количестве эмигрировавшие из сосудов полиморфноядерные лейкоциты, которые легко определить по форме их ядер (подковообразная, бобовидная и т.п.), интенсивно окрашенных гематоксилином. Альвеолярный эпителий набухший, во многих альвеолах он слущен и некротизирован. отторгнутые эпителиальные клетки можно видеть в просвете альвеол вместе с лейкоцитами. Клетки эти довольно крупные, пластинчатой формы, с большим округлым или овальным бледноокрашенным ядром, бедным хроматином. Находясь в серозной жидкости, они набухают, приобретают вместо пластинчатой круглую форму, а в дальнейшем цитоплазма и ядро их лизируются. Часть альвеол содержит в экссудате отдельные эритроциты, проникшие сюда из респираторных капилляров путем диапедеза. 
Как выражение пролиферативных процессов можно отметить появление гистиоцитарных клеток в адвентиции сосудов и молодых эпителиальных клеток по ходу альвеолярных стенок. Пролиферирующие клетки небольших размеров, ядра их богаты хроматином. иногда удается также проследить признаки пролиферации эпителия слизистой оболочки, главным образом мелких бронхов. 
В целом серозное воспаление (или воспалительный отек) легких характеризуется воспалительной гиперемией, сопровождающейся выпотом и скоплением серозного экссудата в полостях альвеол, а также серозным отеком интерстициальной периваскулярной и перибронхиальной соединительной ткани. Эмиграция лейкоцитов и пролифереативные процессы слабо выражены. При сильной степени отека серозный экссудат из альвеол поступает в бронхиолы, затем в крупные бронхи, а отсюда в трахею. 
Серозный воспалительный отек, развиваясь лобулярно или лобарно, часто является начальной стадией других воспалений легкого (катарального, гаморрагического, фибринозного) или же наблюдается перифокально, то есть вокргу фокусов поражения легких при сапе, туберкулезе и других заболеваниях. 
Необходимо иметь в виду, что воспалительный отек легких по гистологической картине сходен с застойным отеком легкого. В качестве основных отличительных черт, позволяющих проводить дифференциальную диагностику, можно указать на следующие: 
-содержание в серозном отеке полиморфноядерных лейкоцитов; 
-при застойном отеке гиперемированы не только респираторные капилляры, но и венозные сосуды (особенно мелкие вены); 
-при воспалительном отеке наблюдается пролиферация адвентициальных, эндотелиальных и эпителиальных клеток. 
Макрокартина: легкие неспавшиеся, бледно-серо-красного или темно-красного цвета, тестовидной консистенции, тяжело плавают или тонут в воде, под плеврой и в паренхиме нередко обнаруживаются мелкие кровоизлияния. С поверхности разреза и из просветов перерезанных бронхов выдавливается и стекает пенистая мутноватая жидкость, окрашенная иногда в розовый цвет. При сильном отеке такого же характера жидкость содержится в крупных бронхах и каудальной части трахеи. Поверхность разреза органа гладкая, сочная, светло- или темно-красного цвета, на фоне которого отчетливо выступают расширенные студневидные тяжи интерстициальной соединительной ткани, инфильтрированной серозным экссудатом. 
Препарат: Афта при ящуре КРС
При малом увеличении микроскопа видны эпителиальные клетки шиповидного слоя, которые увеличены в объеме, округлой формы. В их цитоплазме различной величины пустоты (вакуоли). Пораженные клетки окрашены бледнее, чем неизменные, некоторые клетки похожи на пузырьки с ядрами в состоянии лизиса. В других местах на месте клеток видны большие пустоты, размер которых в несколько раз превышает размер эпителиальных клеток шиповидного слоя (это афты, образовавшиеся в результате перерождения эпителиальных клеток шиповидного слоя и выпота серозного экссудата). 
  
 
Рис.123. Ящурная афта: 
1.	В цитоплазме эпителиальных клеток шиповидного слоя  различной величины пустоты (вакуоли).
  
При большом увеличении отмечаем в зоне афты – полость заполнена жидкостью, в которой видны перерожденные клетки шиповидного слоя эпидермиса. Одни увеличены, бледно окрашены, ядро в них не определяется, вследствие его лизиса. Другие клетки содержат ядро в виде пузырька, заполненного жидкостью. В серозной жидкости видны нейтрофильные лейкоциты, единичные гистиоцитарные клетки. Крышечка пузырька представлена роговыми клетками. Эпителиальные клетки, составляющие стенку пузырька, представлены перерожденными клетками шиповидного слоя и гиперемией капилляров и рядом расположенных сосудов. Во многих эпителиальных клетках видны вакуоли, содержащие прозрачную жидкость, ядра в состоянии лизиса, цитоплазма сохранилась в виде нитей, между клетками видна серозная жидкость, которая разъединяет клетки, в ней содержатся лейкоциты, видны единичные гистиоциты вблизи капилляров. В последующем происходит водяночное перерождение стенок пузырька, приток серозного экссудата и афта увеличивается в размерах. Крышечка рогового слоя истончается, и афта лопается. Экссудат изливается наружу. 
  
 
Рис.124. Ящурная афта: 
1.	В цитоплазме эпителиальных клеток шиповидного слоя  различной величины пустоты (вакуоли).
  
Исходы. Если нет осложнения секундарной инфекцией, то идет заживление по первичному заживлению. Если происходит осложнение гнойной или гнилостной инфекцией, то происходит рубцевание афты. 
Макрокартина: афта в виде пузырька округлой, овальной или полушарообразной формы, заполнена прозрачной бледно-желтой жидкостью. (Буллезная форма серозного воспаления). 
  
 
Рис.125. Ящурные афты в рубце.
  
1.2. Геморрагическое воспаление
Геморрагическое воспаление характеризуется преобладанием в экссудате крови. Обычно этот вид воспаления развивается при тяжелых септических инфекциях (сибирская язва,  рожа свиней,  пастереллез, чума свиней и др.),  а также тяжелых интоксикациях сильнодействующими ядами (мышьяк,  сурьма),  другими ядами.  Кроме того геморрагическое воспаление может развиваться при аллергических состояниях организма. При всех этих факторах резко нарушается порозность сосудов, и за пределы сосудистой стенки выходит большое количество эритроцитов,  в результате чего экссудат принимает кровянистый вид. Как правило, этот вид воспаления протекает остро с развитием некрозов.
 Макроскопически орган и ткани пропитываются кровью, значительно увеличены в объеме и имеют кроваво-красный цвет, на разрезе органа стекает кровянистый экссудат. Рисунок ткани нa разрезе, как правило,  стерт.
 При геморрагическом воспалении желудочно-кишечного тракта,  серозных оболочек полостей в просвете кишечника и полостей скапливается кровянистый экссудат. В желудочно-кишечном тракте с течением времени под воздействием пищеварительных соков он приобретает черный цвет.
 Исход геморрагического воспаления зависит от исхода основного заболевания, в случае выздоровления экссудат может рассасываться с развитием в дальнейшем регенераторных процессов.
 Геморрагическое воспаление необходимо дифференцировать: от кровоподтеков, при них резко выражены границы кровоподтека опухание и некрозы не выражены; геморрагических инфарктов, при них на разрезе типичный треугольник, а в кишечнике они, как правило, образуются на месте заворотов и перекручивания его; от трупной транссудации, при ней содержимое прозрачное,  а стенки полостей гладкие,  блестящие.
 Локализация геморрагического воспаления наиболее часто наблюдается в желудочно-кишечном тракте,  легких, почках,  лимфатических узлах и реже в других органах.
 Целевая установка темы: 
Этиопатогенез. Морфологическая характеристика геморрагического воспаления. При каких инфекционных заболеваниях наиболее часто встречается этот вид 
воспалительной реакции. Исход геморрагического воспаления. 
Основное внимание уделяется следующим вопросам:  
- Особенности в составе экссудата при геморрагическом воспалении. Этиопатогенез этого вида воспаления. Инфекции, при которых наиболее часто 
встречается этот вид воспаления.
 - Локализация геморрагического воспаления. Морфологическая характеристика геморрагического воспаления компактных и по-лостных органов (особенности 
окраски геморрагического воспаления в кишечнике в зависимости от давности процесса).
 - Исход геморрагического воспаления. Значение для организма.
  
Содержание занятия: 
- Беседа с целью ознакомления с подготовленностью студентов для работы по теме лабораторного занятия. Затем преподаватель поясняет детали.
 - Изучение музейных препаратов и боенского материала с целью ознакомления с макро- и микрокартиной при геморрагическом воспалении.
 - Зачитывание студентами протокольной записи описания макроскопической картины при геморрагическом воспалении.
  
Перечень влажных музейных препаратов: 
- Геморрагическая пневмония при пастереллезе КРС и при чуме свиней.
 - Геморрагический лимфаденит лимфатических узлов при чуме свиней.
 - Геморрагическое воспаление слепых отростков цыплят при кокцидиозе.
 - Атлас.
 - Таблицы.
  
Микропрепараты: 
- Геморрагическая пневмония.
 - Геморрагическое воспаление кишечника.
  
Преподаватель на слайдах дает краткую характеристику микрокартины геморрагической пневмонии и геморрагического воспаления кишечника студенты самостоятельно под микроскопом изучают эти процессы, схематически зарисовывая в тетрадях изучаемый процесс, с обозначением стрелкой основные микроскопические изменения при этом воспалении. 
Препарат: Геморрагическая 
 пневмония
Геморрагическая пневмония представляет собой воспалительный процесс с выпотом серозно-геморрагического или геморрагического экссудата в легочные альвеолы и интерстициальную соединительную ткань. Наблюдается в виде диффузного серозно-геморрагического отека или лобулярного и лобарного воспалительного инфаркта легких при сибирской язве, кровопятнистой болезни лошадей и других тяжелых заболеваниях. Геморрагическая пневмония нередко протекает в комбинации с фибринозной и может осложняться гнойно-некротическими процессами или гангреной. 
При малом увеличении можно видеть сильно расширенные и заполненные эритроцитами сосуды, особенно альвеолярные капилляры, которые имеют извилистый ход и узловато вдаются в просвете альвеол. Легочные альвеолы и альвеолярные ходы заполнены геморрагическим экссудатом, в котором участками обнаруживают примесь фибрина, клетки альвеолярного эпителия и единичные лейкоциты. Интерстициальная соединительная ткань инфильтрирована серозно-геморрагическим экссудатом, подверглась разволокнению, отдельные коллагеновые волокна набухшие, утолщенные. 
  
 
Рис.126. Геморрагическая пневмония: 
1.	Геморрагический экссудат в просвете альвеол; 
2.	 Альвеолярный эпителий, лимфоциты
  
При комбинации с фибринозным воспалением можно наблюдать стадийность процесса (участки красной, серой гепатизации), а при осложнениях – очаги некроза и гангренозного распада легочной ткани. 
При большом увеличении детально исследуют разные участки препарата и уточняют: изменения альвеолярных капилляров, характер экссудата в альвеолах и альвеолярных ходах (серозно-геморрагический, геморрагический, смешанный – с фибрином), клеточный состав экссудата (эритроциты, альвеолярный эпителий, лейкоциты). Затем обращаютвнимание на детали изменения интерстициальной соединительной ткани (характер инфильтрации, разволокнение и набухание коллагеновых фибрилл). 
При смешанном процессе с фибринозным воспалением, а также при осложнении некрозом или гангреной находят и исследуют соответствующие участки поражения ткани легкого. 
Макрокартина: в зависимости от формы и характера воспаления внешний вид органа неодинаков. При диффузном поражении – картина серозно-геморрагического отека. Если 
геморрагическая пневмония развивается в лобулярной или лобарной форме, пораженные участки имеют резко очерченные границы и окрашены с поверхности и на разрезе в 
темно- или черно-красный цвет, несколько выступают под плеврой и над поверхностью разреза, плотноваты на ощупь, тонут в воде, поверхность разреза, плотноваты на 
ощупь, тонут в воде, поверхность разреза гладкая, с нее стекает небольшое количество кровянистой жидкости. На поверхности разреза отчетливо выступают расширенные 
студневидные бледно-желтого или черно-красного цвета тяжи пораженной соединительной ткани. 
Препарат: 2. Геморрагическое 
 воспаление кишечника
Процесс обычно фокусный, в виде геморрагических инфильтратов кишечной стенки, главным образом, подслизистой оболочки. 
Уже при малом увеличении микроскопа можно видеть, что про-цесс распространился на всю толщу слизистой и подслизистой оболочек. Слизистая утолщена, структура ее нарушена. 
В ней плохо различаются железы, покровный эпителий в состоянии некроза, участками слущен. 
Некротизируются частично и ворсинки. Поверхность слизистой, лишенная эпителия, представляется в виде сплошной эрозии или язвы. Соединительнотканная основа слизистой 
инфильтрирована серозно-геморрагическим экссудатом. Границы подслизистой резко расширены вследствие скопления в ней экссудата. Соединительнотканные пучки подверглись 
разволокнению. Сосуды слизистой и подслизистой (особенно капилляры) сильно инъецированы. Воспалительная гиперемия особенно ярко выражена в ворсинках. 
При большом увеличении можно установить детали поражения. Клетки покровного некротизирвоанного эпителия набухшие, цитоплазма их гомогенная, мутная, ядра в состоянии 
лизиса или полного распада. Все межтканевые пространства слизистой и подслизистой заполнены геморрагическим экссудатом. Соединительнотканные волокна набухшие, в состоянии лизиса. 
При смешанной форме геморрагического воспаления с фибринозным в пораженном участке можно видеть волокна фибрина. 
Макрокартина: слизистая оболочка утолщена, студенистой консистенции, окрашена в красный цвет и усеяна кровоизлияниями. Подслизистая оболочка отечна, утолщена, очагово 
или диффузно покрасневшая. 
  
 
Рис.127. Геморрагическое воспаление сычуга крупного рогатого скота
  
  
 
Рис.128. Геморрагическое воспаление кишки лошади
  
  
 
Рис.129. Геморрагическое воспаление с некрозом слизистой оболочки  
тонкой кишки крупного рогатого скота (кишечная форма) 
при сибирской язве
  
  
 
Рис.130. Геморрагическое воспаление мезентериальных лимфатических  
узлов крупного рогатого скота
  
1.3. Гнойное воспаление
Оно характеризуется преобладанием в экссудате нейтрофильных лейкоцитов, которые, подвергаясь перерождению (зернистому, жировому и др.), превращаются в гнойные тельца. Гнойный экссудат представляет собой мутную густоватую жидкость, имеющую бледно желтый, белый, зеленоватый цвет. Он состоит из 2-х частей: гнойных телец (перерожденные лейкоциты), продуктов распада тканей и клеток и гнойной сыворотки, которая при распаде лейкоцитов, тканей, клеток и других элементов, обогащается ферментами, биологически активными веществами, в результате чего она приобретает  свойства растворять ткани. Поэтому клетки органов, тканей, соприкасаясь с гнойным экссудатом, подвергаются расплавлению.
 В зависимости от соотношения гнойных телец и сыворотки гной различают доброкачественный и злокачественный. Доброкачественный - в его составе преобладают гнойные тельца, консистенция его густая сметанообразная. Его образование характеризует высокую реактивность организма. Злокачественный гной имеет вид мутной водянистой жидкости, в составе его мало гнойных телец и преобладают лимфоциты. Обычно такой гной наблюдается при хронических воспалительных процессах (долго незаживающих трофических язвах и др.) и свидетельствует о низкой реактивности организма.
 Этиология гнойного воспаления в большинстве случаев связана с воздействием на ткани гноеродных микроорганизмов (стафилококков, бактерии бруцеллеза и сапа, бактерии туберкулеза, грибки актиномицеты и др.), возбудители инвазии (паразиты и их личинки), но оно может носить и асептический характер, когда на ткани воздействуют раздражители-химические вещества ( введение под кожу скипидара, кротонового масла и др.). локализация гнойного воспаления отличается большим разнообразием . оно развивается на слизистых серозных оболочках, в любой ткани и органе.
 В результате различают следующие основные формы гнойного воспаления: гнойный катар, гнойный серозит. При развитии гнойного воспаления в тканях или органах различают два их вида: флегмона и абсцесс.
 Гнойный катар - слизистые оболочки пропитываются серозно-гнойным экссудатом (слизистое перерождение и некроз эпителиальных клеток, гиперемия, отек стромы с инфильтрацией ее гнойными тельцами).
 Макрокартина. Обильный гнойный экссудат с примесью слизи на поверхности слизистой. При снятии экссуда обнаруживаются эрозии (участки слизистой,  лишенные покровного эпителия),  слизистая набухшая,  покрасневшая с кровоизлияниями полосчатого и пятнистого характера.
 Гнойные серозиты - гнойное    воспаление серозных покровов естественных полостей (плевры,  перикарда,  брюшины и др.). В результате этого процессса гной скапливается в соответствующей полости,  что называется эмпиемой. Серозные покровы при этом набух¬шие,  тусклые, покрасневшие с эрозиями и пятнисто-полосчатыми кровоизлияниями.
 Флегмона - разлитое гнойное воспаление рыхлой клетчатки (подкожной,   межмышечной,  забрюшинной и др.).  Процесс характеризуется вначале развитием серозного  и серозно-фибринозного воспалительного отека клетчатки с последующим быстрым ее некрозом,  а затем гнойной инфильтрацией и расплавлением ткани. Флегмона чаще наблюдается там,  где гнойная инфильтрация происходит легко, например по межмышечным прослойкам,  по ходу сухожилий,  фасций в подкожной клетчатке и т.д. Ткани, пораженные флегмонозным воспалением, опухшие, плотные в начале развития процесса и в дальнейшем тестообразной консистенции,  синюшно-красного цвета, на разрезе диффузно пропитаны гноем.
 Макрокартина флегмоны характеризуется скоплением гнойного экссудата между раздвинутыми тканевыми элементами. Сосуды   расширены и переполнены кровью.
 Абсцесс - очаговое гнойное воспаление,  которое характеризуется образованием отграниченного фокуса,  состоящего из гнойно - расплавленной массы. Вокруг образовавшегося гнойника образуется вал из грануляционной ткани,  богатой капиллярами,  через стенки которых происходит усиленная эмиграция лейкоцитов.   
 Эта оболочка снаружи состоит из послоек соединительной ткани и прилежит к неизмененной ткани. Внутри она образована грануляционной тканью и слоем сгущенного гноя, плотно прилегающим к грануляциям и непрерывно обновляющимся, благодаря выделению гнойных телец. Эта оболочка гнойника,  продуцирующая гной, носит название пиогенной мембраны.  Макроскопически абсцессы могут быть от едва заметных до больших (в диаметре 15-20 см и более). Форма их округлая, при ощупывании поверхностно расположенных абсцессов отмечают флюктуацию (зыбление),  а в других случаях сильное напряжение тканей.
  
  
Рис.131. Очаговое гнойное воспаление печени (абсцесс)
  
  
 
Рис.132. Множественные абсцессы в легких овцы
  
Исход гнойного воспаления 
В случаях, когда не происходит отграничения гнойного воспалительного процесса, зоной реактивного воспаления, что происходит при ослабленной резистентности организма может наступить генерализация инфекции с развитием пиосепсиса и образованием множественных гнойников в   органах и тканях.  Если реактивные силы достаточны, то гнойный процесс отграничивается зоной реактивного воспаления и образуется абсцесс,  то он вскрывается или спонтанно или хирургически. Образовавшаяся полость заполняется грануляционной тканью, которая, созревая, формирует рубец. Но может быть и такой исход: гной сгущается, превращается в некротический детрит,  подвергающийся петрификации.  В других случаях возможно инцистирование абсцесса, когда гнойный экссудат рассасывается скорее, чем разрастается соединительная ткань,  и на месте абсцесса формируется  киста (полость, заполненная жидкостью). Флегмонозное воспаление часто проходит бесследно (экссудат рассасывается),  но иногда происходит формирование абсцессов или диффузное разрастание соединительной ткани на месте флегмоны (слоновость кожи).
 Целевая установка: 
Гнойное воспаление. Определение понятия. Характеристика гнойного экссудата. Патологоанатомические формы гнойного воспаления. Исходы. Значение для организма. 
Основное внимание уделяется следующим вопросам: 
- Гнойное воспаление. Определение понятия. Состав гнойного экссудата и его свойства.
 - Морфологическая характеристика гнойного катара, гнойных серозитов, флегмоны, абсцесса (макро- и микрокартина).
 - Исходы гнойного воспаления. Значение для организма.
  
Содержание занятия: 
- Беседа со студентами по заданной теме. Уточнение неясных сторон изучаемого процесса.
 - Изучение макро- и микрокартины гнойного катара, гнойных серозитов, флегмоны, абсцесса на музейных препаратах и боенском материале путем описания макрокартины 
и изучения под микроскопом картины гнойных воспалительных процессов.
  
Перечень музейных препаратов: 
- Гнойная бронхопневмония теленка.
 - Абсцесс печени крупного рогатого скота.
 - Актиномикоз кожи головы крупного рогатого скота.
 - Эмболический гнойный нефрит почки (микроабсцессы почки).
 - Гнойное воспаление слизистой оболочки трахеи крупного рогатого скота.
 - Гнойный перикардит крупного рогатого скота.
  
Перечень микропрепаратов: 
- Эмболический гнойный нефрит.
 - Гнойная бронхопневмония.
 - Флегмона подкожной клетчатки.
  
Препарат: Эмболический 
 гнойный нефрит
Эмболический гнойный нефрит возникает при заносе в почки гематогенным путем инородных бактерий из первичных гнойных очагов (язвенном эндокардите, гнойном эндометрите, бронхопневмонии и др.). Гноеродные микробы чаще оседают в артериолах клубочков и здесь начинают размножаться, вызывая гнойное расплавление ткани клубочка с последующим формированием абсцесса. Мелкие абсцессы, прогрессируя, сливаются в крупные. В других случаях, когда инородные микробы закупоривают артериальную веточку, развивается инфаркт, который подвергается гнойному размягчению. Гнойной инфильтрации подвергается интерстициальная соединительная ткань. В эпителии извитых канальцев наблюдаются дистрофические и некротические изменения, особенно это выражено в канальцах, окружающих абсцессы. 
Под микроскопом при малом увеличении в начальной стадии развития процесса, находим очаги некроза почечной ткани (клубочков или канальцев), одновременно отмечаем гиперемию капилляров и более крупных сосудов. С периферии некротических участков отмечаем лейкоцитарную инфильтрацию. Лейкоциты заполняют просветы канальцев и капсулы клубочков. Эмболы имеют вид грубых базофильно окрашивающихся образований различной величины в виде пятен, кучек. При большом увеличении они представляют из себя мелкозернистую массу. В более поздних стадиях воспалительного процесса при малом увеличении отмечаем в паренхиме коркового и мозгового слоев различной величины участки, состоящие из скоплений клеточных элементов, интенсивно синего цвета (окраска Гематоксилин-Эозином). Эти участки гнойного расплавления почечной ткани (абсцессы). Как правило, в корковом слое они округлой или овальной формы, в мозговом слое продолговатой формы (по ходу прямых канальцев). Структура почечной ткани в абсцессах не различается. 
  
 
Рис.133. Эмболический гнойный нефрит: 
1.	Серозный экссудат; 
2.	Эмболы в виде грубых образований синего цвета; 
3.	Лейкоцитарная инфильтрация ткани почки; 
4.	Гиперемия сосудов
  
При большом увеличении абсцессы состоят из скопления полиморфноядерных лейкоцитов, ядра их изменены (деформация, распад на глыбки, появление вакуолей). Это указывает на их дистрофию. Среди лейкоцитов находим распадающиеся эпителиальные клетки, обрывки соединительнотканных волокон, примесь эритроцитов. При специальной окраске в абсцессах можно обнаружить микробы. Видна в некоторых участках нежнозернистая сеточка между клеточными элементами – это серозный экссудат. Все перечисленные составные части и образуют гной. В тканях, окружающих абсцессы, сосуды и капиляры переполнены кровью, местами встречаются кровоизлияния. Эпителиальные клетки в одних случаях в состоянии зернистой дистрофии, в других некроза. 
В случаях затяжного течения гнойного воспаления вместо нейтрофилов в экссудате появляется много лимфоцитов, а по периферии абсцессов видны лимфоидные клетки, фибробласты и другие клетки, которые формируют вокруг него грануляционную ткань. Со временем она превращается в соединительнотканную капсулу (инкапсуляция). 
Макрокартина. Почки увеличены в объеме, дряблой консистенции, с поверхности и на разрезе видны кровоизлияния и множественные гнойнички различной величины от макового зерна до горошин и больше (в корковом слое они округлые, в мозговом – продолговатые) серо-желтого цвета с красным ободком по периферии. Паренхима окрашена неравномерно, темно-красные участки чередуются с серо-белыми (гиперемия, кровоизлияния, зернистая дистрофия). При разрезе гнойничков из них выделяется сметаноподобный желтовато-зеленый гной. При хронической форме воспаления вокруг гнойничков виден бледно-серого цвета ободок различной ширины – это соединительнотканная капсула (инкапсуляция). 
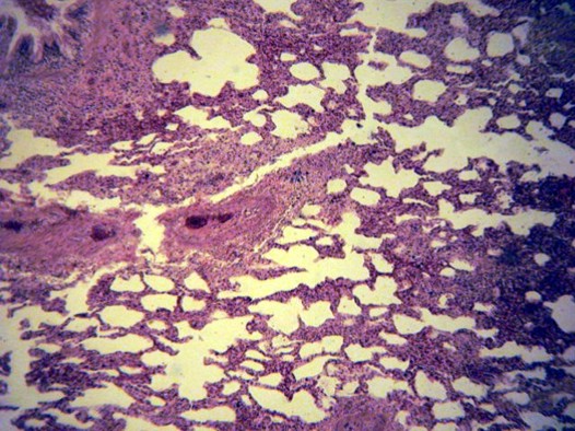
Препарат: Гнойная 
 бронхопневмония
При ней воспалительный процесс распространяется первично по бронхам, переходя на альвеолы. При обширных поражениях легочная ткань подвергается на больших площадях расплавлению, а затем замещается соединительной тканью (карнификация и фибринозное затвердение легкого). В других случаях осложнения происходит абсцедирование пораженного легкого или развивается гангрена его. Гнойная бронхопневмония развивается при эспирации корма в легкие, при попадании гноя из вскрывшихся абсцессов в области глотки и гортани и как осложнение других пневмоний. 
При малом увеличении находим пораженный бронх (просвет его не определяется), заполненный гнойным экссудатом, который интенсивно окрашен. Гематоксилином в синий цвет, вследствие содержания в нем большого количества лейкоцитов. Вокруг бронха видны альвеолы, растянутые гнойным экссудатом, который по составу сходен с содержимым бронхов. Границы между альвеолами плохо различаются и определяются только по красной сеточке гиперемированных капилляров альвеол. (При большом увеличении в их просветах видны эритроциты). 
  
 
Рис.134. Гнойная бронхопневмония: 
1.	Просвет бронха заполнен гнойным экссудатом; 
2.	Альвеолы, заполненные гнойным экссудатом; 
3.	Серозный экссудат в альвеолах
  
  
 
Рис.135. Гнойная пневмония: 
1.	Гнойный экссудат в альвеолах; 
2.	Гиперемия кровеносного сосуда; 
3.	Гиперемия капилляров альвеолярных перегородок альвеол; 
4.	Разрост перибронхиальной соединительной ткани; 
5.	Бронх.
  
При большом увеличении экссудат в просветах бронхов состоит преимущественно из полиморфноядерных лейкоцитов, ядра большинства их в состоянии распада. Среди лейкоцитов слущенные клетки бронхиального эпителия, единичные гистиоциты и эритроциты, серозно-слизистая жидкость. Слизистая отечна, пропитана лейкоцитами полиморфноядерными, покровный эпителий слущен (десквамация). Перебронхиальная соединительная ткань инфильтрирована лейкоцитами. Экссудат в альвеолах, расположенных вокруг пораженного бронха, состоит из серозного экссудата, полиморфноядерных лейкоцитов, единичных гистиоцитов и эритроцитов и слущенных клеток альвеолярного эпителия (розовые с синим ядром). Стенка альвеолы утолщена из-за сильного расширения альвеолярных капилляров, диаметр которых равен диаметру 2-3 эритроцитов. В просветах капилляров видны и полиморфноядерные лейкоциты. В участках полного гнойного расплавления альвеолярных стенок не различают. 
Макрокартина. Легкое неспавшееся, резко покрасневшее с множественными кровоизлияниями; с поверхности и на разрезе видны гнойноразмягченные участки различной величины от горошины до лесного ореха. Гнойные массы серо-желтого или желтого цвета. Из бронхов выделяется густая гнойная масса. Проба на плавучесть пораженных частей – кусочек легкого тонет в воде. 
  
 
Рис.136. Гнойники в легких барана
  
  
 
Рис.137. Множественные гнойные очажки в почке жеребенка 
(септикопиемия)
  
Препарат: Флегмона подкожной 
 клетчатки
Флегмона в подкожной клетчатке чаще развивается при тяжелых травмах или глубоких ранениях с последующим внедрением гноеродных бактерий и последующим гнойным расплавлением омертвевших участков. 
При малом увеличении отмечаем, что наиболее типичные изменения отмечают в подкожной клетчатке, в то время как эпидермис изменен мало (преимущественно в нем периваскулярные инфильтраты). В подкожной клетчатке соединительнотканыне пучки инфильтрированы лейкоцитами и серозной жидкостью, вследствие чего они кажутся утолщенными. Местами видны сплошные скопления лейкоцитов, а очертания соединительнотканных волокон не различается. В некоторых кровеносных сосудах видны тромбы. Жировая ткань также инфильтрирована лейкоцитами. Кровеносные сосуды и капилляры расширены и переполнены кровью, вокруг сосудов также видны клеточные скопления. Лимфатические сосуды также расширены и переполнены лейкоцитами. В некоторых из них обнаруживаются тромбы. Видны некротизированные соединительнотканные пучки, окруженные лейкоцитами. 
  
 
Рис.138. Флегмона подкожной клетчатки: 
1.	Некротизированные участки соединительно-тканных пучков; 
2.	Инфильтрат из полиморфноядерных лейкоцитов
  
При большом увеличении рассматриваем воспалительный клеточный инфильтрат, он состоит из полиморфноядерных лейкоцитов, лимфоцитов, серозного экссудата. В участках некроза соединительнотканных пучков видна бесструктурная розовая масса с синими глыбками ядерного хроматина (распавшиеся ядра). 
Макрокартина. Пораженный участок кожи отечный, плотной в начале и тестоватой консистенции в последующем. Депигментированная кожа и лишенная волос имеет пятнистую или диффузную красноту, видны утолщенные шнуры лимфососудов. При развитии абсцессов в соответствующих местах открываются свищевые ходы, через которые выделяется гной. При разрезе видны участки некроза и гнойная инфильтрация рыхлой клетчатки. 
1.4. Катаральное воспаление
Катаральное воспаление развивается на слизистых оболочках и самым существенным для состава катарального экссудата является наличие слизи в составе с другими компонентами (продуктами альтерации, экссудации, пролиферации).
 В зависимости от преобладания в экссудате тех или иных компонентов различают катары (серозный, слизистый, гнойный или десквамативный, геморрагический).
 Слизистый катар - в экссудате преобладает слизь и слущенные перерожденные клетки покровного эпителия. По существу это альтеративный тип воспаления. Слизистая, как правило, набухшая, покрасневшая с пятнисто-полосчатыми кровоизлияниями и покрыта большим количеством мутной слизистой массы.
 Серозный катер - в экссудате преобладает мутная бесцветная серозная жидкость. Слизистые оболочки при этом стекловидно набухшие,  покрасневшие,  тусклые.
 Гнойный катар - в экссудате преобладают гнойные телъца (перерожденные лейкоциты). На поверхности слизистой гноевидный экссудат, при снятии которого обнаруживаются эрозии (поверхностные дефекты слизистой). Слизистая набухшая,  покрасневшая с кровоизлияниями.
 Геморрагический катар - преобладание в экссудате эритроцитов, которые придают экссудату кровянистый вид. На поверхности слизистых оболочек большое количество слизистого кровянистого экссудата, который под воздействием соляной кислоты,  ферментов желудочно-кишечного тракта приобретает вид кофейной массы или черный цвет. Слизистая оболочка быстро становится грязно-серого цвета.
 По остроте течения  катары различают острые и хронические. При остро-катаральном воспалении слизистая набухшая, покрасневшая,  с пятнистыми и полосчатыми кровоизлияниями покрыта тягучей, жидкой, мутной слизью (катаральным экссудатом) с примесью гнойных телец или эритроцитов в зависимости от вида катара легко смываемой водой.
 При хроническом катаральном воспалании слизистая утолщается   или неравномерно в зависимости от очагового  или диффузного характера воспалительного процесса, имеет бугристый вид. Окраска бледная, грубоскладчатая.  Покрыта густой, мутной слизью трудно смываемой водой. Складки не расправляются рукой.
 Целевая установка темы 
Морфологические особенности катарального воспаления и локализация его. Разновидность катарального воспаления слизистых оболочек по характеру экссудата. Морфологические проявления катарального воспаления легких. Морфологические особенности острого и хронического катарального воспаления. Исходы. При каких инфекционных заболеваниях наиболее часто встречается этот вид воспаления. 
Основное внимание уделяется следующим вопросам: 
- Морфологические особенности катарального экссудата в отличие от другого вида воспаления (по составу экссудата и локализации воспалительного процесса).
 - Морфологические особенности острого и хронического катарального воспаления. Исход.
 - Этиопатогенез и патоморфология катаральной бронхопневмонии острой и хронической ее форм и морфологические особенности в отличие от других пневмоний (серозной, 
геморрагической, фибринозной, гнойной).
  
Содержание занятия 
- Беседа с целью ознакомления подготовки студентов к занятиям , затем преподаватель поясняет детали.
 - Изучение музейных препаратов, атласа и боенского материала с целью ознакомления с макрокартиной патологоанатомических изменений при остром и хроническом катаральном гастроэнтерите, 
катаральной бронхопневмонии (острая и хроническая форма). Студенты, пользуясь схемой описания, в виде краткой протокольной записи описывают изучаемые патологоанатомические изменения при 
катарах и в заключении устанавливают патологоанатомический диагноз. По окончании этой работы протоколы зачитываются и в них вносятся коррективы (в случаях неточного описания).
 - Изучение патологоанатомических процессов на гистологических препаратах. Преподаватель сначала с помощью слайдов и рисунков на доске поясняет препараты, а затем студенты под 
руководством преподавателя с помощью методического пособия изучают гистологические изменения при остром и хроническом энтерите, острой и хронической бронхепневмонии. Студенты схематически 
зарисовывают патологические изменения при названных процессах.
  
  
 
Рис.139. Катаральное воспаление желудка свиньи
  
  
 
Рис.140. Острое катаральное воспаление кишечника
  
  
 
Рис.141. Катарально-гнойная бронхопневмония у теленка
  
Перечень влажных музейных препаратов: 
- Острое катаральное воспаление кишечника.
 - Хроническое катаральное воспаление желудка.
 - Острая катаральная бронхопневмония.
 - Хроническая катаральная бронхопневмония.
  
Перечень микропрепаратов 
- Острое катаральное воспаление кишечника.
 - Хроническое катаральное воспаление кишечника.
 - Катаральная бронхопневмония (острая форма).
  
Изучение препаратов под микроскопом производится согласно протокольной записи описания микропрепаратов. 
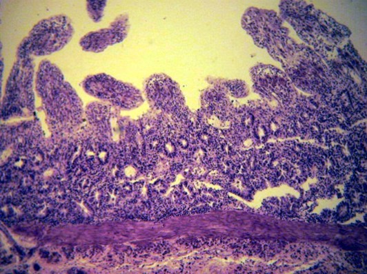
Препарат: Острый катаральный 
 энтерит
Под микроскопом при малом увеличении видим гиперемию и отек ворсинок, в результате ворсинки утолщены, деформированы (особенно на концах), эпителиальный покров на конце ворсинок отсутствует, нет эпителиальных клеток и в верхних отделах многих крипт. В результате очертания отдельных ворсинок плохо выражены, различают только их концы. В соединительно-тканной основе ворсинок, а также в толще слизистой повышенное содержание клеток, сосуды расширены и переполнены кровью. Границы фолликулов видны отчетливо. На поверхности слизистой виден экссудат. 
  
 
Рис.142. Острый катаральный энтерит: 
1.	Десквамация покровного эпителия ворсинок; 
2.	Ворсинки обнажены (без покровного эпителия); 
3.	Кистовидно растянутые железы;
4.	Атрофия ворсинок
  
При большом увеличении видно, что экссудат, лежащий на поверхности слизистой оболочки состоит: 
- Из слущенных эпителиальных клеток (это признаки некроза), которые лежат в одних местах поодиночке, в других пластами в виде лент.
 - Серозной жидкости с примесью слизи (которая имеет вид зернистой нитчатой массы окрашивающейся в синеватый цвет (базофильно), темнее, чем серозная жидкость.
 - Небольшое количество полиморфноядерных лейкоцитов, единичные эритроциты (клетки крови) и гистиоциты (тканевые клетки).
  
Рассматривая при сильном увеличении сохранившийся покровный эпителий, видим, что эпителиальные клетки в состоянии слизистой дистрофии (увеличение количества бокаловидных клеток).
В глубине крипт эпителий сохранился без сильных изменений. Соединительнотканная основа ворсинок и вся толща слизистой пропитана серозной жидкостью, полиморфноядерными лейкоцитами в 
небольшом количестве и единичными лимфоцитами и гистиоцитами. 
При отеке подслизистой границы ее бывают расширенными, сосуды инъецированы, в окружности сосудов кровоизлияния, а также небольшое скопление лимфоцитов и гистиоцитов. 
  
 
Рис.143. Острый катаральный энтерит: 
1.	Увеличение количества бокаловидных клеток в криптах; 
2.	Отек соединительно-тканной ткани между криптами
  
Макрокартина 
Слизистая набухшая пятнисто или полосчато покрасневшая (особенно по верхушкам складок), иногда отмечаются сплошные (суффузные) покраснения. Слизистая покрыта тягучей, полужидкой 
слизью, хорошо смываемой водой. При обильном слущивании эпителия экссудат напоминает мучнистый суп. 
Препарат: Хронический катар 
 тонкого отдела кишечника
При хроническом катаре в отличие от острого слабо выражены сосудистые изменения (воспалительная гиперемия, отек вследствие выпота серозной жидкости, эммиграция лейкоцитов), сильнее выражены процессы альтерации (в виде дистрофических и некротических изменений в кишечном эпителии и атрофические изменения ворсинок и желез) и процессы пролиферации, сопровождающиеся регенераторными процессами эпителиальных клеток ворсинок и желез и разростом соединительной ткани. 
При малом увеличении устанавливаем, что покровный эпителий полностью отсутствует, ворсинки обнажены, местами уменьшены (атрофированы). Железы раздвинуты и сдавлены разрастающейся соединительной тканью. Многие железы уменьшены в размере (атрофия), в состоянии распада и представляются в виде островков среди разросшейся ткани. Сохранившиеся участки крипт выглядят в виде вытянутых трубок. Просветы других желез кистовидно растянуты. В участках с резко выраженными атрофическими изменениями слизистая истончена. Лимфатические фолликулы увеличены, центры их окрашиваются в бледный цвет. В подслизистой изменения незначительные, в других случаях отмечается разрост соединительной ткани. Мышечный слой утолщен. 
  
 
Рис.144. Хронический катар тонкого отдела кишечника: 
1.	Обнаженные ворсинки без покровного эпителия; 
2.	Кистовидно растянутые железы; 
3.	Атрофия желез; 
4.	Утолщение мышечного слоя
  
При большом увеличении в участках, где сохранился эпителий, видна слизистая его дистрофия и распад его клеток. Со стороны сохранившихся эпителиальных клеток глубоких частей крипт идет регенерация эпителия. Образующиеся молодые клетки интенсивно ок-рашиваются гематксилином, и ядра в них обычно располагаются в центре. В атрофирующихся железах клетки сморщены, уменьшены в объеме, ядра в них пикнотичные, просветы желез спавшиеся. В уча-стках разрастающейся интерстициальной соединительной ткани в большом количестве обнаруживают фибробласты, гистиоциты, плазматические клетки с примесью лимфоцитов и полиморфноядреных лейкоцитов. Кровеносные сосуды без явления гиперемии. В лимфатических фолликулах отмечается пролиферация ретикулярных клеток в их зародышевых центрах. В мышечном слое можно увидеть гипер-трофию мышечных волокон. иногда разрост соединительной ткани. В серозной оболочке изменений нет. 
При гипертрофическом варианте хронического катара идет регенерация эпителиальных клеток слизистой оболочки с одновременным разростом соединительной ткани. В результате этого процесса слизистая утолщается, складки делаются грубыми, не расплавляются при разглаживании рукой, иногда разросты напоминают полипозные образования, выступая в просвет кишечника. разрастающийся эпителий желез располагается в несколько слоев, перешнуровываются выводные протоки гиперплазированных желез. Клетки сохраняют способность выделять секрет, но вследствие заращения просвета, секрет не выделяется, а накопляется в просвете, образуя кистозные полости, переполненные секретом. С течением времени соединительнотканные элементы превращаются в рубцовую ткань, железы атрофируются и развивается атрофический хронический катар, характеризующийся истончением слизистой, ее сухостью, в связи с атрофией желез. 
Макрокартина 
Слизистая окрашена в бледно-серый или серовато-белый цвет, иногда с бурым или пепельным оттенком, вначале утолщена равномерно или неравномерно, в заивимости от очагового или диффузного характера воспалительного процесса, грубоскладчатая, складки не расправляются, в дальнейшем со старением соединительной ткани развиваются атрофические процессы, слизистая участками истончается, становится плотной. 
При гипертрофическом хроническом катаре слизистая резко утолщается, складчатая или бугристая, иногда покрыта ворсинчатыми полипозными разращениями, при разрезании которых нередко обнаруживаются кистозные полости. 
Препарат:  Катаральная 
 бронхопневмония
Для катаральной бронхопневмонии характерны: 
- Катаральный экссудат.
 - Распространение процесса идет эндобронхиально.
 - Начинается бронхопневмония мелкими очажками, поражающие отдельные дольки преимущественно верхушечных долей, и только на более поздних стадиях может принять лобарный характер.
  
  
 
Рис.145. Катаральная бронхопневмония:  
1. Утолщение межальвеолярных перегородок; 
2.Скопление катарального экссудата в бронхах; 
3.	Разрост соединительной ткани вокруг бронхов; 
4.	Скопление катарального экссудата в альвеолах
  
Микрокартина катаральной бронхопневмонии характеризуется гиперемией капилляров альвеол и перибронхиальных кровеносных сосудов скоплением катарального экссудата в мелких бронхах, серозноклеточным выпотом в альвеолы, дистрофией и слущиванием альвеолярного эпителия. 
При эндобронхиальном распространении процесса, при малом увеличении находит пораженный бронх, просвет которого заполнен клеточным экссудатом. При большом увеличении видим, что экссудат состоит из слизи, лейкоцитов, слущенных клеток мерцательного эпителия, иногда видны единичные эритроциты и гистиоциты. Вся толща слизистой пропитана серозноклеточным экссудатом, набухшая, число бокаловидных клеток увеличено, что свидетельствует об их слизистом перерождении. Остальные слои стенки бронха не изменены, отсутствует отек и клеточная инфильтрация окружающей бронх ткани, как это бывает при перибронхиальном распространении процесса, наблюдаемого значительно реже. Затем рассматриваем альвеолы окружающие пораженный бронх. Стенки некоторых альвеол, в которых мало экссудата представлены красной сеточкой (это гиперемия капилляров). В других альвеолах, переполненных клеточным экссудатом, гиперемия не видна (экссудат выдавил эритроциты из капилляров альвеол). Экссудат состоит из однородной розовой массы содержащей лейкоциты, слущенные клетки альвеолярного эпителия, эритроциты, единичные гистиоциты. В пораженных альвеолах, расположенных ближе к пораженному бронху, в составе экссудата преобладают лейкоциты, а в периферических частях серозная жидкость и слущенные клетки. Альвеолы, окружающие воспаленные очаги, расширены, имеют форму неправильных полостей, содержащих воздух (викарная эмфизема). 
С развитием воспаления серозный отек и лимфолейкоцитарная инфильтрация развивается в интерстициальной соединительной ткани и межальвеолярных перегородок. Происходит пролиферация фибробластов. Гиперемия начинает ослабевать, а клеточная пролифереация усиливается. Межальвеолярные перегородки становятся неразличимы, альвеолы подвергаются некрозу и на их месте, а также в интерстиции легких, межальвеолярных перегородках усиливается клеточная пролиферация, приводя в дальнейшем к разросту соединительной ткани и индурации (уплотнения) легкого. 
Макрокартина 
Пораженные дольки увеличены, но не так сильно как при крупозной пневмонии, окрашены в сине-красный цвет или серо-сине-красноватый (спленизация органа), т.е. ткань становится похожей на селезенку. Поверхность разреза пораженных частей влажная, при надавливании отделяется мутная иногда кровянистая дижкость, из перерезанных бронхов выделяется мутная тягучая слизь. С усилением клеточно-пролиферативных процессов, т.е. перехода воспалительного процесса в хроническую форму в соответствующих участках на общем сине-красном фоне выступают серо-красные пятна и точки. хорошо выделяются расширенные бледно-серые тяжи отечной соединительной ткани. В хронических случаях воспаленные участки легкого имеют бледно-серый цвет и плотную консистенцию, напоминая поджелудочную железу. 
  
 
Рис.146. Острая катаральная бронхопневмомия у ягненка
  
  
 
Рис.147. Воспаление правого легкого ягненка: катаральное – 
передней и средней долей
  
1.5. Фибринозное воспаление
Фибринозное воспаление характеризуется образованием плотного выпота - фибрина, который примешивается  к экссудату. Свежие пленки фибрина при выпотевании имеют вид эластичных полупрозрачных желто-серых масс, которые пропитывают ткань (глубокое дифтеритическое воспаление), или располагается в виде пленок на  воспаленной поверхности полости (поверхностное фибринозное воспаление). После выпотевания фибринозная  масса уплотняется, теряет прозрачность и превращается  в крошковатое серо-белое вещество. Под микроскопом фибрин имеет волокнистое строение. Этиология фибринозного воспаления связана с воздействием вирулентных возбудителей (повального  воспаления легких, чума  крупного рогатого скота, чума свиней, паратиф свиней и др.), которые своими токсинами вызывают повышенную проницаемость сосудистой стенки, в результате через нее начинают проходить крупные белковые молекулы фибриногена. Крупозное воспаление (поверхностное)-характеризуется отложением фибрина на поверхности естественных полостей. Локализация его - на серозных, слизистых, суставных покровах. На их поверхности образуется пленка фибрина, которая легко снимается, обнажая набухшую, покрасневшую, тусклую оболочку органа. Как правило, процесс носит диффузный характер.
 В кишечнике фибрин накопляется и формирует резиноподобные слепки, закрывающие просвет кишечника. На серозных покровах эти пленки, уплотняясь, подвергаются организации (фибринозный плеврит, фибринозный перикардит). Примером этой организации является "волосатое сердце". В легких фибрин заполняет полость альвеол, придавая органу  консистенцию печени (гепатизация), поверхность разреза суховатая. Фибрин в легких  может рассасываться или прорастает соединительной тканью (карнификация). 
  
  
Рис.148. Фибринозное восппаление пульмональной плевры
  
  
 
Рис.149. Фибринозный бородавчатый эндокардит
при хронической роже свиней
  
  
 
Рис.150. Дифтеритические некротические очажки на языке теленка 
при некробактериозе
  
  
 
Рис.151. Фибринозная пневмония лошади 
при некробактериозе
  
  
 
Рис.152. Очаговый дифтерический колит у поросенка 
при паратифе
  
  
 
Рис.153. Дифтерический острупляющий колит у поросенка 
при хроническом паратифе
  
  
 
Рис.154. Фибринозный плеврит крупного рогатого скота 
при перипневмонии
  
  
 
Рис.155. Фибринозный перикардит
  
Дифтеритическое (глубокое) воспаление характеризуется отложением фибрина в глубине органа   между тканевых и  клеточных элементов. Как правило, процесс носит очаговый характер, и участок  пораженной слизистой оболоч¬ки  имеет   вид плотной суховатой пленки, трудно снимающейся с поверхности. При снятии пленок и отрубьевидных наложений образуется дефект (выемка, язва), которая затем подвергается организации (заращением соединительной тканью). Несмотря на тяжелый характер воспалительного процесса, дифтеритическое воспаление протекает более благоприятно, чем крупозное (поверхностное), так как носит очаговый характер, а крупозное - диффузный.
 Целевая установка темы 
Морфологические особенности фибринозного воспаления и локализация его. Разновидности фибринозного воспаления (глубокое, поверхностное) по глубине воспалительного процесса, их отличительные особенности. Морфологические особенности крупозного воспаления легких (стадийность воспалительного процесса). Исходы фибринозного воспаления на слизистых оболочках, серозных покровах, суставных поверхностях. исход фибринозной пневмонии. При каких инфекционных заболеваниях наиболее часто встречается этот вид воспаления. Какие инфекционные заболевания сопровождаются фибринозной пневмонией? 
Основное внимание уделяется следующим вопросам: 
- Морфологические особенности состава фибринозного экссудата (микро- макрокартина).
 - Локализация фибринозного воспаления. особенности морфологического проявления фибринозного и дифтеритического воспаления. Исход.
 - Морфологические особенности фибринозной пневмонии. острая и хроническая форма течения. исход. При каких инфекционных заболеваниях встречается этот вид воспаления. Отличительные 
особенности фибринозной пневмонии от других пневмоний (серозной, гемор-рагической, гнойной, катаральной).
  
Содержание занятия 
- Беседа с целью ознакомления подготовки студентов к теме занятия, затем преподаватель поясняет детали.
 - Изучение макроскопических изменений фибринозного воспаления слизистых оболочек, серозных покровов, суставных поверхностей, легких на боенских конфискатах, влажных и сухих препаратах, 
атласе. Студенты, пользуясь схемой макроскопического описания органов, в виде краткой протокольной записи описывают изучаемые макроскопические изменения при фибринозном воспалении. Затем 
зачитывают с указанием патологоанатомического диагноза. Вносятся коррективы.
 - Изучение микрокартины фибринозной пневмонии под микроскопом. Студенты, пользуясь протокольным описанием препаратов и пояснениям преподавателя, изучают различные стадии развития 
фибринозной пневмонии и схематически зарисовывают в тетрадях с обозначением стрелкой.
  
Перечень влажных музейных препаратов 
- Фибринозный перикардит.
 - Фибринозное воспаление кишечника (паратиф свиней).
 - Дифтеритическое воспаление кишечника (паратиф).
 - Фибринозный плеврит (пастереллез).
 - Фибринозная пневмония (стадия серой, красной и желтой гепатизации).
  
Перечень микропрепаратов 
- Фибринозная пневмония (стадия прилива крови и красная гепатизация).
 - Фибринозная пневмония (стадия серой и желтой гепатизации).
  
Фибринозная (крупозная) пневмония 
Особенности фибринозной пневмонии: 
- Фибринозный экссудат.
 - Лобарный характер фибринозного воспаления с самого начала развития воспалительного процесса.
 - Лимфогенный путь распространения, а следовательно, междольковая ткань поражается, и по продолжению, 
как правило, фибринозное воспаление переходит на плевру и перикард. В связи с этим фибринозная пневмония осложняется фибринозным плевритом и перикардитом.
  
Особенности фибринозной пневмонии: фибринозный экссудат; лобарный характер фибринозного воспаления с самого начала развития воспалительного процесса; лимфогенный путь распространения, а следовательно, междольковая ткань поражается, и по продолжению, как правило, фибринозное воспаление переходит на плевру и перикард. В связи с этим фибринозная пневмония осложняется фибринозным плевритом и перикардитом. 
 В развитии фибринозной пневмонии различаются 4 стадии: 
1-я стадия – гиперемии (прилива крови). 
2-я стадия – красной гепатизации (красного опеченения). 
3-я стадия - серой гепатизации (серого опеченения). 
4-я стадия - желтой гепатизации (разрешения процесса). 
Препарат: Фибринозная (крупозная) 
 пневмония (стадия красной гепатизации)
При малом увеличении видим, что капилляры альвеол, кровеносные сосуды легочных перегородок сильно расширены и заполнены кровью. В результате этого капилляры альвеол вдаются почкообразно в полость альвеол, отчего кажется, что стенка альвеол построена из красной петлистой сетки. В просветах некоторых альвеол, мелких бронхов эритроциты и экссудат. 
  
 
Рис.156. Фибринозное воспаление легких крупного рогатого скота  
(участки красной гепатизации): 
1.	Гиперемия капилляров альвеол; 
2.	Серозный экссудат в перифокальной зоне фибринозного воспаления
  
При большом увеличении экссудат виден в виде войлокообразной, сетчатой или нитчатой массы (фибрин), окрашенной в розовый цвет. В экссудате много эритроцитов, примесь полиморфноядерных лейкоцитов и слущенных (розового цвета с бледно окрашенным пузырьковидным ядром) клеток альвеолярного эпителия, единичные гистиоциты. В одних альвеолах фибрина много, и он образует сплошную сетку. В других – лишь отдельные переплетающиеся нити. В тех альвеолах, которые заполнены эритроцитами, фибрин не обнаруживается. Встречаются альвеолы, в которых виден серозный экссудат. В просветах альвеолярных ходов и мелких бронхов экссудат фибринозный в таком же виде, как и в альвеолах. 
В интерстициальной соединительной ткани наблюдается набухание коллагеновых волокон. Они утолщены, некоторые пучки волокон подверглись разволокнению и инфильтрированы серозно-фибринозно-клеточным экссудатом. 
При большом увеличении видны резко расширенные лимфатические сосуды, заложенные в интерстициальной, периваскулярной и перибронхиальной соединительной ткани. Они переполнены фибринозным экссудатом (войлокообразные, нитчатые массы). Наблюдается тромбоз сосудов. Видны также интерстиции участки некроза (бесструктурная розовая масса), вокруг которых образовалось демаркационное воспаление (инфильтрация лейкоцитами (синие клетки) на границе некротизированной ткани). 
Макрокартина. 
 В этой стадии поражается большое количество долек (лобарный характер) с самого начала. Пораженные доли легкого красного цвета и темно-красного увеличены, уплотнены, на 
разрезе изменения аналогичные, напоминают ткань печени (красная гепатизация). Кусочки вырезанные из пораженных участков тонут в виде. 
 Препарат:  Фибринозная (крупозная) 
 пневмония (стадия серой гепатизации)
При малом увеличении видим – просветы альвеол растянуты скопившимся в них экссудатом, богатым лейкоцитами. В результате чего альвеолярные перегородки утончены, а их капилляры запустевшие, вследствие сдавливания их экссудатом. В участках, где альвеолы переполнены лейкоцитами, перегородки не выявляются (вследствие расплавления их гнойным экссудатом). 
  
 
Рис.157. Фибринозное воспаление легких крупного рогатого скота  
(участки серой гепатизации): 
1.	Истончение перегородок, запустение капилляров; 
2.	Волокна фибрина, лейкоциты в просвете альвеол; 
3.	Мелкозернистый экссудат и большое количество лейкоцитов
  
При большом увеличении волокна фибрина, заполняющего просветы альвеол, тянутся из одной альвеолы в другую. (Это хорошо видно при окраске на фибрин). В экссудате много лейкоцитов, эритроцитов не видно (гемолиз). В других альвеолах экссудат содержит много лейкоцитов и мелкозернистый, гомогенный экссудат (пептонизация, т.е. распад экссудата под влиянием ферментов лейкоцитов). Картина изменений бронхов, а также интерстициальной соединительной ткани аналогична описанной в стадии красной гепатизации, но более резко выраженная.  
В частности, сильнее поражены лимфатические и кровеносные сосуды (тромбоз их) и интерстициальная соединительная ткань (некроз ее). Макроскопически пораженные дольки имеют серый и желтый цвет. Серые участки плотные по консистенции, напоминают печень, желтые участки размягченные (стадия разрешения). Междольковая соединительная ткань – утолщены ее границы. Видны в виде ноздревато – расширенных отверстий пораженные лимфатические и кровеносные сосуды, тромбоз их и эмболия и сероватые, плотной консистенции очаги некроза. 
Исход: Экссудат может рассосаться полностью (пептонизация его). После чего происходит полное восстановление альвеолярного и бронхиального эпителия (полное разрешение воспалительного процесса). Но межальвеолярные перегородки и междольковая соединительная ткань всегда после окончания воспалительного процесса остаются утолщенными. Если экссудат полностью не рассасывается, то омертвевшие участки прорастают соединительной тканью (карнификация легкого), т.е. воспалительный процесс заканчивается неполным разрешением. 
Макрокартина фибринозной пневмонии 
Лобарность поражения легкого с начала ее развития. Мрамор-ность рисунка пораженных участков с поверхности и на разрезе. Одни дольки красного цвета, другие серые, третьи желтоватого (это придает органу мраморность рисунка). Тяжи междольковой соединительной ткани резко расширены. Лимфососуды в виде четок. Отмечается их тромбоз. Из бронхов и альвеол можно извлечь пробочки фибрина. Часто процесс переходит на плевру и перикард с последующим развитием фибринозного плеврита и перикардита. 
  
 
Рис.158. Фибринозное воспаление легких крупного рогатого скота
 (участки красной и серой гепатизации)
  
  
 
Рис.159. Фибринозный плеврит у овцы
  
  
 
Рис.160. Фибринозное воспаление легких крупного рогатого скота. 
Большинство долек в стадии серой гепатизации
  
  
 
Рис.161. Фибринозная пневмония с некрозом легочной ткани 
у крупного рогатого скота
  
Контрольные вопросы:
- Сущность серозного воспаления. Морфологическая картина.
 - Морфологическая картина патологоанатомических форм серозного воспаления (серозный воспалительный отек, серозно-воспалительная водянка, буллезная форма).
 - При каких инфекционных заболеваниях наиболее часто встречаются эти формы воспаления?
 - Исход серозного воспаления. Примеры. Значение для орга-низма.
 - Чем отличается геморрагическое воспаление от других ви-дов экссудативного воспаления?
 - Как морфологически проявляется геморрагическое воспа-ление в компактных органах и полостях?
 - Какие инфекционные заболевания наиболее часто сопровождаются геморрагическим воспалением?
 - Исход геморрагического воспаления. Примеры. Значение для организма.
 - Состав гнойного экссудата и его свойства. Примеры.
 - Патологоанатомические формы проявления гнойного воспаления в зависимости от локализации воспалительного процесса (гнойный катар, гнойный серозит (эмпиема), абсцесс, флегмона). 
Примеры.
 - Макрокартина гнойного эмболического нефрита, гнойной бронхопневмонии, флегмоны.
 - Исходы гнойного воспаления (гнойного катара, гнойного серозита, абсцесса, флегмоны). Примеры.
 - Сущность катарального воспаления. Особенности локализации и состава экссудата.
 - Морфологические признаки острого и хронического катарального воспаления слизистых оболочек.
 - Морфологическая характеристика острой и хронической катаральной бронхопневмонии.
 - При каких инфекционных заболеваниях наиболее часто встречается катаральное воспаление? Примеры.
 - исход катарального воспаления. Примеры. Значение для организма.
 - особенность и морфологический состав фибринозного экссудата. Локализация фибринозного воспаления.
 - Морфологические признаки фибринозного (поверхностного) и дифтеригического (глубокого) фибринозного воспаления слизистых оболочек. Исход. Фибринозное воспаление серозных покровов и суставных поверхностей. исход.
 - Морфологические особенности фибринозной пневмонии (стадийность развития процесса). Исход. Значение для организма.
 - При каких инфекционных заболеваниях наблюдается этот вид воспаления. Примеры. Значение для организма.
  
 |