Модуль 1. Общая патологическая анатомия животных
Тема 1.7. Нарушение кроволимфообращения
Лабораторный практикум
Краткий теоретический курс 
 Лабораторный практикум
 1. Гиперемия
 Препарат: Острая застойная гиперемия печени
 Препарат: Хроническая застойная гиперемия печени
 Препарат: Хроническая застойная гиперемия или бурая индурация легких
 Препарат: Острая застойная гиперемия и отек легких
 2. Кровоизлияние
 Препарат: Диапедезное кровоизлияние в почке
 Препарат: Кровоизлияние в сердечную мышцу при ценкеровском некрозе
 3. Тромбозы 
 Препарат:Смешанный тромб
 Организация тромба
 4. Инфаркты
 Препарат: Анемический (эмболический) инфаркт почки
 Препарат: Геморрагический инфаркт почки
 Препарат: Анемический инфаркт селезенки
 Контрольные вопросы к теме
  
 Все нарушения кровообращения делятся на общие и местные, но  такое деление является условным, так как общее нарушение кровообращения влияет на кровообращение в отдельных органах и наоборот, нарушение кровообращения в каком-либо органе влияет на кровообращение во всем организме.
 К практическому курсу относятся только местные расстройства, которые рассматривается ниже.
 Виды местного кровообращения: гиперемия,  кровоизлияния, тромбоз и эмболия, инфаркты.
 Расстройства  лимфообращения вызываются изменениями проходимости или целостности лимфатических сосудов, поражениями лимфатических узлов,  нарушениями кровообращения и воспалительными изменениями органов. Различают следующие виды расстройства лимфообращения: лимфостаз, лимфоррагию, тромбоз и эмболию лимфатических сосудов. При этом все эти процессы обычно сопровождаются изменениями состава и количества лимфы.
 МЕСТНЫЕ РАССТРОЙСТВА КРОВООБРАЩЕНИЯ 
-  Гиперемия; 
 -  Кровоизлияния; 
 -  Тромбоз и эмболия; 
 -  Инфаркт.
 Целевая установка темы: 
Определение понятия гиперемия (острая и хроническая застойная), кровоизлияния (морфологические проявления кровоизлияний), тромбоза и эмболии, инфаркта. Морфологическая характеристика и этиопатогенез гиперемии,  кровоизлияний, тромбоза и эмболии, инфаркта. 
 Исходы этих процессов. Инфекционные септические болезни, при которых наблюдаются местные расстройства кровообращения. 
 Клиническое их значение. Расстройства лимфообращения (лимфостаз, лимфоррагия,  тромбоз и эмболии лимфососудов). Исходы. Клиническое значение.
 Основное внимание уделяется следующим вопросам: 
- Этиопатогенез и морфологическая характеристика острой и хронической застойной гиперемии. Отличительные особенности от гипостаза.  Исходы.  Клиническое значение.
 - Этиопатогенез и морфологическая характеристика тромбоза и эмболии.  Отличительные особенности прижизненного тромба от посмертного. Исходы. Клиническое значение.
 - Этиопатогенез и морфологическая характеристика инфаркта (белого, красного, смешанного). Особенности патоморфологического проявления инфарктов в зависимости от архитектоники артериальной системы органов (почки, легкие, селезенка, сердце, головной мозг). Исходы. Клиническое значение.
 - Этиопатогенез и морфологическая характеристика различных видов нарушения лимфообращения. Лимфостаз. Тромбоз и эмболия лимфатических сосудов. Клиническое значение.
 - Этиопатогенез и морфологическая характеристика различных видов кровоизлияний (петехиальное, экхимозы, вибекс, суффузия). Исходы. Клиническое значение.
  
Содержание занятия: 
- Беседа с целью ознакомления с подготовленностью студентов к проведению лабораторного занятия по теме. Затем преподаватель поясняет детали.
 - Изучение музейных препаратов с целью ознакомления с макроскопическими изменениями при острой и хронической застойной гиперемии, при тромбозе и эмболии, кровоизлияниях, инфарктах. Студенты устно, а затем письменно, пользуясь схемой, учатся описывать патологические процессы, относящиеся к местным расстройствам кровообращения.
 - Изучение гистопрепаратов под микроскопом. Студенты под руководством преподавателя находят кровоизлияния, гиперемию, тромбоз и эмболию кровеносных и лимфатических сосудов, инфаркты. Зарисовывают схематически в тетрадях с обозначением стрелками.
  
Перечень важных музейных препаратов 
- Атеросклероз аорты с пристеночным тромбом;
 - Аневризма аорты;
 - Рубцы миокарда (после инфаркта);
 - Разрыв сердца с тампонадой;
 - Фибриозный перикардит;
 - Пастереллез. Фибринозная пневмония;
 - Кровоизлияние в мозг;
 - Геморрагический инфаркт легкого.
 1. ГИПЕРЕМИИ
 
Гиперемией называют избыточное содержание крови в органе или ткани. Она  может быть артериальной или венозной. Венозная пассивная, застойная встречается  значительно чаще, чем артериальная. Она часто распространяется на весь орган, а иногда захватывает целые области организма. В подавляющем большинстве случаев застойная гиперемия является следствием расстройства сердечной деятельности или заболевания легких. Наиболее характерный признак венозной гиперемии это расширение мелких и крупных вен и капилляров.
 В норме под микроскопом диаметр капилляра равен диаметру одного эритроцита. В крупном кровеносном сосуде эритроцитарный столб занимает центральное место, а по периферии сосуда светлый плазматический слой. При гиперемии капилляры расширяются, и их диаметр становится равен 2-3 и больше эритроцитам. В крупных сосудах гиперемия проявляется расширением эритроцитарного столба  и сужением плазмотического. Прилипание эритроцитов к интиме сосуда называется стазом. (Кровеносный сосуд как бы нафарширован эритроцитами). При длительном стазе острая   застойная гиперемия переходит  в хроническую, проявляется  выпотом жидкой части крови, а   затем и форменных элементов  за  пределы  сосудистой стенки. Ткани, окружающие сосуд, оказываются  в состоянии отека, если эти явления происходят в печени, то развивается асцит. Если причина, вызвавшая гиперемию, и отек устранены, то  происходит  рассасывание  жидкости  и  возвращение органа или ткани к исходному состоянию. Если причина не устраняется, то в зоне отека происходит  перерождение и некроз клеток и тканей, а в дальнейшем разрастается соединитальная ткань, приводящая к уплотнению органа.
 Макрокартина острой застойной гиперемии: компактный орган несколько набухший, дрябловатый при венозной, плотноватый при артериальной гиперемии, окрашен в темно-вишневый цвет, на разрезе стекает кровь. Слизистые и серозные покровы:  рисунок сосудов резко выражен, видны ранее невидимые сосуды, покровы несколько набухшие, кровеносные сосуды переполнены кровью.
 Макрокартина xронической застойной гиперемии.  Орган отечный в начальных фазах развития, покрасневший, с развитием процесса орган увеличивается в объёме равномерно или неравномерно (в зависимости от разроста соединительной ткани), плотной консистенции, отмечается чередование темно-красных и светло-серых участков, видны буроватые пятна гемосидерина.
  
  
Рис.71. Воспалительная гиперемия кожи при рожи свиней
  
Микрокартина острой и хронической гиперемии. В норме в кровеносном сосуде эритроцитарный столб расположен центрально, плазматический по периферии. Диаметр капилляра равен диаметру одного эритроцита. При острой застойной гиперемии происходит расширение эритроцитарного столба и сужение плазматического, прилипание эритроцитов к интиме сосудов обозначает стаз. Диаметр капилляров увеличивается до диаметра 2-3 и больше эритроцитов - они кажутся как бы нафаршированными эритроцитами.
 При развитии хронической гиперемии сначала жидкая часть крови, а затем и форменные элементы выходят за пределы сосудистых стенок. Обмен веществ в тканях нарушается, развиваются дистрофические, некротические и воспалительные процессы, что ведет к разросту соединительно-тканных элементов, замещающих погибшую паренхиму органа, утолщаются кровеносные сосуды. Видны буро-коричневые глыбки гемосидерина.
 Целевая установка темы: 
Этиопатогенез. Морфологическая характеристика гиперемии (микро- и макрокартина). Исход. Значение для организма.
 Основное внимание уделяется следующим вопросам:  
Определение понятия гиперемии. Этиопатогенез гиперемий и их классификация. Морфологическая характеристика острой и хронической гиперемии и их принципиальное отличие. Исход.  Значение для организма.
 Содержание занятия: 
- Обмен информацией по основным вопросам, касающихся гиперемии.
 - Изучение музейных препаратов с целью уяснения макрокартины гиперемии острого и хронического порядка, а затем микрокартины.
  
Студенты письменно,  а затем устно отвечают,  описывают виденные процессы согласно схемы. Изучают препараты под микроскопом.
 Перечень музейных препаратов: 
- Острая застойная гиперемия печени.
 - Цирроз печени.
 - Острая застойная гиперемия брыжейки.
 - Рисунки патологоанатомического атласа.
	 
 Перечень гистопрепаратов 
- Острая застойная гиперемия и отек легких.
 - Острая застойная гиперимия печени.
 - Хроническая застойная гиперемия печени.
 - Хроническая застойная гиперемия легких.
 Препарат: Острая застойная гиперемия печени
Венозная гиперемия печени встречается довольно часто и бывает выражена сильнее, чем венозная гиперемия других органов брюшной полости. 
  
 
Рис.72. Острая застойная гиперемия печени: 
1.	Внутридольковые капилляры переполнены кровью; 
2.	Атрофия печеночных балок.
  
Происходит это потому, что всякие затруднения тока крови в задней полой вене в первую очередь отражаются на печеночных венах. 
Рассматривая препарат при слабом увеличении микроскопа, необходимо в первую очередь обратить внимание на центральные части долек. Вследствие особенностей кровообращения в печени первые изменения наступают, как правило, в районе центральных вен. Последние, а также впадающие в них внутридольковые капилляры сильно расширены и заполнены кровью.  
На периферии долек, ближе к междольковой соединительной ткани, гиперемия выражена слабо или отсутствует. Балки в центре долек более или менее раздвинуты друг от друга, а в отдельных случаях как бы распались на группы клеток. Создается впечатление, что эти группы клеток или даже отдельные печеночные клетки свободно располагаются среди скопищ эритроцитов. Такое впечатление усиливается еще тем,  что при обычной гематоксилин-эозиновой окраске стенки сильно расширенных капилляров остаются незаметными. 
  
 
Рис.73.Острая застойная гиперемия печени (диффузная форма): 
1.	Центральная вена; 
2.	Гиперемия внутрибалочных капилляров; 
3.	Атрофия печеночных балок.
  
Затем переходят к изучению деталей препарата при большом увеличении микроскопа, обращая внимание на центральные и периферические  части долек. 
 Печеночные балки центров долек тонкие,  местами разорваны. Границы печеночных клеток неотчетливы, а их ядра в основной массе уменьшены, темно красятся, и часть их имеет неров¬ные,  зубчатые контуры - состояние пикноза.
 В печеночных клетках можно иногда обнаружить желто-коричневые или бурые зернышки пигмента липофусцина, что объясняется длительным нарушением в них обмена веществ.
 Цитоплазма печеночных клеток средней и периферической части долек часто содержит неокрашенные ячейки. Последние соответствует каплям жира, которые при обработке среза спиртом оказались растворенными. Среди ожиревших клеток часто всчречаются перстневидные формы,  сходные с клетками жировой ткани. Все тело таких клеток занято одной жировой каплей, а ядро оттеснено к его периферии. 
  
 
Рис.74.Острая застойная гиперемия печени (диффузная форма): 
1.	Центральная вена (стаз крови в ней); 
2.	Гиперемия капилляров между печеночными балками; 
3.	Атрофия печеночных балок.
  
Макроскопически печень с поверхности и на разрезе пестрая, имеет рисунок мускатного ореха (мускатная печень). Обусловлено это тем,  что центры долек вследствие скопления там крови окрашиваются в красный, буровато-красный или в сине-красный,  периферия - в бледно-серый или серо-желтый (от жира) цвет. Объем печени несколько увеличен,   капсула напряжена, с поверхности разреза стекает много темной венозной крови. 
Препарат: Хроническая застойная гиперемия печени
Изучая препарат при слабом увеличении, отмечают,  что в центре долек кровь почти отсутствует. Наоборот, периферия долек полнокровна, и здесь можно видеть остатки сохранившихся печеночных балок. Далее устанавливают утолщение стенок центральных и сублобулярных вен и разрастание вокруг них волокнистой соединительной ткани. 
  
 
Рис.75.Хроническая застойная гиперемия печени: 
1.	В триадах печени разрастание волокнистой соединительной ткани; 
2.	Остатки сохранившихся печеночных балок
  
  
 
Рис.76.Хроническая застойная гиперемия: 
1.	Разрост междольковой соединительной ткани.
  
  
 
Рис.77.Хроническая гиперемия печени: 
1.	Утолщение стенки центральной вены; 
2.	Гиперемия капилляров около центральной вены
  
Просветы этих вен несколько спавшиеся. Одни из них ещё содержат немного крови, а другие запустевают. Между дольками вокруг триад также повышенное количество волокнистой соединительной ткани. При большом увеличении начинают изучать препарат с центра долек,  где устанавливают отсутствие печеночных балок и замещение  их новообразованной волокнистой тканью при одновременном утолщении стенок центральных вен. Коллагеновые  волокна постепенно стягивают внутридольковые капилляры и центральные вены, приводят их к запустеванию, отчего гиперемия заметна в основном только на периферии долек. Сохранившиеся на периферии долек печеночные клетки и эндотелий сосудов содержат пылевидные коричневого цвета зернышки пигмента гемосидерина, образование которого явилось следствием распада эритроцитов. Разрастание соединительной ткани отмечают также вокруг долек, главным образом, по ходу суб- и интралобулярных вен, стенки которых благодаря этому утолщены.
 Макроскопически печень в этой стадии до некоторой степени сохраняет мускатный рисунок, в то же время она принимает более плотную консистенцию и может быть несколько уменьшена в объеме - застойный цирроз печени. Уплотнение печени обусловлено разрастанием в ней соединительной ткани. Степень уплотнения является показателем давности процесса.
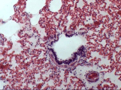
 Препарат: Острая застойная гиперемия и отек леких
При застойной гиперемии легких расширяются и переполняются кровью капилляры перегородок и вен междольковой соединительной ткани. Рассматривая гистологический препарат уже при слабом увеличении микроскопа можно видеть, что строение легкого сильно изменено. Просветы альвеол и бронхиол частично или целиком заполнены розоватой или серо-розоватой пленкой,  а кровеносные сосуды (вены и респираторные капилляры) сильно налиты кровью. Для более детального изучения необходимо найти такой участок препарата, где альвеолярное строение легочной ткани заметно наиболее отчетливо. При большом увеличении здесь видны неравномерно расширенные капилляры, которые местами четкообразно вдаются в просвет альвеол и придают альвеолярным перегородкам утолщенный вид. Если в печени,  вследствие компактности органа, скопления отечной жидкости (трассудата) нет,  то в легком эта жидкость в большом количестве обнаруживается в полостях - альвеолах. Трассудат,  или вернее белок транссудата, оставшийся после обезвоживания препарата спиртом,  заметен в альвеолах либо в виде мельчайшей зернистости,  заполняющей просветы альвеол целиком или частично. В последнем случае пленочка транссудата содержит воздух в виде неокрашенных, различной величины ячеек. Некоторые альвеолы почти целиком заполнены воздухом,  в транссудат только узкой полоской располагается около альвеолярных перегородок, клеточных элементов в транссудате мало.  
Обычно в нем находят немного эритроцитов, единичные лимфоциты,  нейтрофильные лейкоциты и слущенные клетки альвеолярного эпителия.  Дифференцировать отдельные клетки следует, в основном, по ядрам, так как протоплазма окрашивается в один цвет с транссудатом и не имеет с ним резких границ. Ядра слущенных эпителиальных клеток выделяются крупной величиной, бледной окраской и округло-овальной или пузырьковидной формой. 
  
 
Рис.78.Отек и гиперемия легких: 
1.	Расширение и переполнение кровью капилляров альвеол и альвеолярных перегородок; 
2.	Просветы альвеол заполнены серо-розовой пленкой (отек легочных альвеол).
  
Эти клетки в сравнении с клетками крови значительно больше.
 Одновременно с этим отеку может подвергаться соединительная ткань около кровеносных сосудов, бронхов и между дольками, что вы-зывает там набухание и утолщение коллагеновых волокон.
 Препарат: Хроническая застойная гиперемия  или бурая индурация легких
Хроническая застойная гиперемия легких отличается от острой разрастанием соединительной ткани и отложением в легочной ткани большого количества пигмента гемосидерина. 
При слабом увеличении прежде всего находят участки легочной ткани, в которых альвеолярное строение почти полностью отсутствует, и, особенно в таких местах, где имеется сильное разрастание волокнистой соединительной ткани. Альвеолы здесь находятся с щелевидными полостями, но в то же время встречаются альвеолы с расширенными просветами и сильно утолщенными стенками. В отдельных альвеолах заметно скопление темно-коричневого пигмента гемосидерина. 
  
 
Рис.79.Бурая индурация легких: 
1.	Разрастание волокнистой соедительной ткани между альвеолами; 
2.	Скопление пигмента гемосидерина
  
Изучая там же участок органа при большом увеличении микроскопа, находят богатую клетками волокнистую соединительную ткань. По сохранившимся щелевидным просветам альвеол и скоплению пигмента в них можно заключить, что развитие соединительной ткани шло по перегородкам и привело к ателектазу альвеол и к полной облитерации их полостей. 
Изучая скопление гемосидерина, убеждаются, что основная масса последнего находится в округлых клетках (альвеолярные макрофаги), заполняющих просветы альвеол. Пигмента в этих клетках настолько много, что он затушевывает ядра альвеолярных макрофагов. Гемосидерин, как и в печени, образуется из эритроцитов. Последние путем диапедеза выходят из расширенных капилляров, примешиваются к транссудату, а затем фагоцитируются клетками. Причинами хронического застоя крови в легких обычно служат различные пороки сердца, например недостаточность клапанов, поэтому пигментные клетки, расположенные в альвеолах, называют клетками сердечного порока. 
Капиллярная сеть в утолщенных перегородках становится незаметной. Объясняется это тем, что последние запустевают вследствие сдавливания их разрастающейся соединительной тканью, а также в результате пролиферации эндотелия,  закрывающего просвет капилляров. 
На вскрытии, такие легкие находят в состоянии ателектаза, плотной консистенции и окрашенными в серо-бурый или ржаво-бурый цвет – гемосидероз. Уплотнение легких,  вызванное разрастанием соединительной ткани, называется индурацией, таким образом, в целом наблюдается картина бурой индурации легких. 
2. КРОВОИЗЛИЯНИЯ
При кровоизлияниях происходит выход эритроцитов или всех составных частей крови за пределы кровеносного сосуда и скопление ее в тканях или в каких-либо естественных полостях организма. Излияние крови наружу называется кровотечением. Принято различать три типа кровоизлияний: 
- Кровоизлияние после разрыва стенки кровеносного сосуда (порезы, ушибы, уколы, огнестрельные ранения и т.п.).
 - Кровоизлияния без заметных грубых нарушений целостности сосудистой стенки (отравления, инфекционные болезни, воспалительная реакция и др. причины). 
Диапедезные кровоизлияния.
 - Кровоизлияние вследствие разъедания стенки сосуда (язвенный или воспалительный процесс, опухоль, туберкулезный, сапной и другие процессы).
  
 
Макрокартина кровоизлияний. Кровоизлияния выглядят в виде точек (петехиальные кровоизлияния), пятен различной формы и величины (экхимозы), в виде полос, что преимущественно наблюдается на верхушках складок слизистых оболочек и суффузные, т.е. сплошные, которые чаще развиваться под оболочкой органа (в подслизистую, под мягкую. или твердую оболочку и др.). Точки, пятна, полосы, сплошные кровоизлияния темно-красного цвета, в старых случаях, если организм остался жить, в этих местах видны глыбки гемосидерина, которые со временем рассасываются. 
Микрокартина. Под микроскопом видны свободно лежащие эритроциты свежие или гемолизированные, вышедшие за пределы кровеносных сосудов и капилляров. 
Исход.Эритроциты гемолизируются, распадаются и на месте их, если не произошла смерть организма, местными ретикулярными клетками вырабатывается гемосидерин в виде ржаво-бурых глыбок, который с течением времени рассасывается. 
Целевая установка темы. 
Этиопатогенез. Морфологическая характеристика различных видов кровоизлияний (макро и микро). Исходы. Значение для организма.
 Основное внимание уделяется следующим вопросам: 
- Определение понятия кровоизлияния.
 - Виды кровоизлияний и их классификация по этиологическому принципу.
 - Виды кровоизлияний и их классификация по морфологическому принципу.
 - Исходы и значение для организма.
 
  
  
Рис.80. Кровоизлияния в слизистой оболочке мочевого пузыря
  
 
 
  
 
Рис.81. Множественное точечное кровоизлияние в плевре теленка.
  
 
 
  
 
Рис.82. Пятнистые кровоизлияния под серозным покровом ободочной кишки лошади
  
 
 
  
 
Рис.83. Пятнистые кровоизлияния в коже поросенка при чуме
  
 
 
  
 
Рис.84. Точечные кровоизлияния на реберной плевре поросенка при чуме свиней
  
 
 
  
 
Рис.85.Суффузные кровоизлияния под эпикард и эндокард
при чуме свиней
  
 
 
  
 
Рис.86. Множественные мелкопятнистые кровоизлияния 
под серозным покровом кишечника
  
 
 
  
 
Рис.87. Кровоизлияния под эпикардом жеребенка
  
 
 
  
 
Рис.88. Множественные кровоизлияния под эпикардом
  
 
Содержание занятия: 
- Взаимная информация о патологическом процессе «Кровоизлияние».
 - Изучение музейных препаратов путем описания в тетрадях макроскопических изменений согласно схемы описания, а затем микроскопических.
  
Перечень музейных препаратов 
- Точечные (петехиальные кровоизлияния на эпикарде). 
 - Пятнистые и точечные кровоизлияния на коже и в почках при чуме свиней.
 - Кровоизлияния в серозные покровы кишечника.
 - Кровоизлияния под костальную плевру.
 - Суффузия под твердую мозговую оболочку.
 Перечень микропрепаратов. 
-Диапедезные кровоизлияния в почку и в сердечную мышцу. 
Преподаватель поясняет патологические изменения на гистопрепаратах, а затем студенты самостоятельно зарисовывают в тетрадях схематически в виде схемы с обозначением стрелкой патологических изменений. 
Препарат: Диапедезное кровоизлияние в почке
Изучая препарат при слабом увеличении, отмечают, что кровеносные сосуды клубочков и межканальцевой соединительной ткани сильно залиты кровью. Вокруг них местами заметно скопление большого количества эритроцитов наподобие кровяной лужи. 
Эритроциты располагаются или в межканальцевой соединительной ткани или в просвете клубочковых капсул. Один из участков с кровоизлиянием изучают при сильном увеличении. Извитые канальцы, находящиеся в фокусе кровоизлияния, сильно сдавлены и далеко  отодвинуты друг от друга сплошными скопищами крови. Их эпителий в состоянии зернистой дистрофии, нередко некробиоза, из-за него такие канальцы не имеют просветов, границы между отдельными эпителиальными клетками в них отсутствуют, а ядра находятся в состоянии лизиса и пикноза. Такого рода изменения выражены еще сильнее в тех канальцах, в просвете которых содержатся эритроциты, проникшие сюда из клубочковых капсул или из межуточной ткани. Если кровоизлияния произошли сравнительно задолго до смерти животного, эритроциты, расположенные за пределами кровеносного сосуда, окрашены бледно, а контуры их затушеваны. 
 
 
Рис.89. Диапедезное кровоизлияние в почке: 
1.	Кровеносные сосуды клубочков залиты кровью; 
2.	Капилляры межканальцевой соединительной ткани залиты кровью; 
3.	Граница между клетками извитых канальцев не видна, просвет отсутствует; 
4.	Лизис ядер эпителия извитых канальцев
  
Судьба таких кровоизлияний зависит от степени повреждения (некробиоза) ткани. При дистрофии одного эпителия наблюдается полное восстановление. Если же одновременно некротизируется и соединительная ткань - строма органа, наступает неполное заживление в виде организации омертвевшего участка с образованием в дальнейшем рубцовой соединительной ткани буроватого или ржаво-коричневого оттенка (пигментация гемосидерином). 
На вскрытии диапедезные кровоизлияния в почках встречаются часто у всех домашних животных при интоксикациях и различных инфекционных заболеваниях. Они локализуются в корковом и мозговом слоях, наиболее часто в корковом. Если такие кровоизлияния расположены на периферии коркового слоя, то после снятия с почек серозной  капсулы, они выступают на поверхности в виде темно-красных точек и мелких пятен. 
Препарат: Кровоизлияния в скелетную мышцу
 при ценкеровском некрозе
 
При слабом увеличении микроскопа на фоне скопления крови обнаруживают беспорядочно разбросанные и далеко отстоящие друг от друга гомогенные розовые или розово-фиолетовые глыбки распавшихся мышечных волокон. Большие скопления крови отмечают также в межмышечной соединительной ткани или жировой клетчатке, разделяющей мышечные пучки. В некоторых мышечных соединительно-тканных прослойках (свободных от крови) видны клеточные инфильтраты в виде скопления ядер, окрашенных в синий цвет. 
 
 
Рис.90. Кровоизлияния в мышцу: 
1.	Скопление крови между глыбками мышечных волокон; 
2.	Гомогенные глыбки распавшихся мышечных волокон
  
Переходя к осмотру частей препарата, свободных от крови, отмечают, что по характеру изменений поперечно-полосатой мускулатуры, а именно, по неравномерному утолщению мышечных волокон, потери поперечной исчерченности, распаду сократительного вещества на   крупные глыбки,  иногда даже с разрывом сарколеммы и отсутствию большого числа мышечних ядер,  перед нами восковидный или ценкеровский некроз. 
Изучая под большим увеличением участок с кровоизлиянием, устанавливают, что наряду с большим скоплением эритроцитов находятся лейкоциты,  лимфоциты,  а также нити выпавшего фибрина. Наличие в зоне кровоизлияния всех составных частей крови, а также разрыв мышечных волокон на отдельные глыбки и раздвижение их скопищами крови на далекое расстояние друг от друга подтверждает факт кровоизлияния, произошедшего вследствие разрыва сосуда. Разрыв мышечных волокон на такие однородные глыбки свидетельствует о том, что кровоизлияние является вторичным, а восковидный некроз мускулатуры- первичным. При изучении скопищ крови обращают внимание на сравнительно бледную окраску эритроцитов и отсутствие у большинства из них четких контуров (гемолиз), а также на обнаружение на месте кровоизлияния пигмента гемосидерина. Появление клеточного инфильтрата в межмышечных соединительнотканных прослойках, граничащих с зоной кровоизлияния, следует рассматривать как образование реактивной зоны (скопление лимфоидных и эпителиоидных клеток, гистиоцитов и др. форм), за счет которой в дальнейшем происходит рассасывание и организация мертвого участка, а затем образование рубцовой соединительной ткани. 
Макрокартина: мышцы несколько набухшие, дрябловатой консистенции, рисунок их сглажен, бледно окрашены в розовато-серый, желтовато-серый или глинистый цвет. Кровоизлияния на этом фоне выступают в виде узких или широких полос или разной величины темно- или буровато-красных пятен. 
3. ТРОМБОЗ И ЭМБОЛИЯ
Тромбозом называют процесс прижизненного свертывания крови в полостях сердца и сосудов и прикрепление их на стенку. Образовавшийся при этом сверток называют тромбом. По отношению к просвету кровеносного сосуда тромбы делятся на пристеночные,  продолженные и закупоривающие, по их строению и составу - на гиалиновые, белые,  красные и смешанные, к последним относятся и слоистые. 
Условия возникновения тромбоза: 
- Повреждение сосудистой стенки.
 - Замедление тока крови.
 - Изменение физико-химического состава крови (нарушение ее свертывающей  системы).
  
Белые тромбы образуется при довольно быстром токе крови в крупных артериальных сосудах и, как правило, пристеночные.  Красные при замедленном токе крови в венозных сосудах и, как правило, закупоривающие. Эмболия - механическая закупорка кровеносных сосудов ка¬кими-либо частицами, занесенными током крови. Сама частица вызвавшая закупорку, называется эмболом. Эмболами могут быть клетки опухолей, оторвавшиеся тромбы, жировые частицы и т.д.
 По внешнему виду тромбы могут быть красными (главная составная часть их состоит из эритроцитов), белыми (состоит из тромбоцитов, свернувшегося фибрина и лейкоцитов). Эти тромбы в чистом виде практически редко встречаются.  Часто приходится иметь дело со смешанными тромбами. Головка этого тромба, как правило, прикреплена к сосудистой стенке и имеет слоистое строение. Отмечают  чередование красных и белых участков,  тромбы суховатые, ломкие. Часто могут служить источником для эмболии. В отличии от них - посмертные тромбы влажно-блестящие красные или лимонно-желтого цвета, эластичные, легко извлекаются из полости,  в которой он залегает и повторяет ее форму.
 
  
Рис.91. Тромбоз сосудов печени лошади.
  
 
 
Рис.92. Белый тромб крупного сосуда легких лошади
  
Исход тромбоза: 
 
- В эмболию с последующим инфарктом.
 - Организация тромба (прорастание со стороны мышечной стенки со¬суда соединительной ткани в тромб).
 - Облитерация (заращение просвета сосуда).
  
Целевая установка 
Этиопатогенез тромбоза и эмболии.  Морфологическая характеристика тромбозов и эмболии. Исходы.  Значение для организма. 
Основное внимание уделяется вопросам: 
- Определение понятия тромбоза и эмболии.
 - Причины и факторы, способствующие образованию тромбов и эмболов.
 - Классифиация тромбов по отношению к сосудистой стенке.  Морфологическая характеристика (микро - и макрокартина). 
 - Классификация тромбов по строению и составу. Морфологическая характеристика (микро - и макрокартина). 
 - Отличительные особенности посмертного свертка от прижизненного тромба.
 - Виды эмболий.
 - Исходы тромбоза и эмболий.
  
Содержание занятия: 
- Взаимная информация о тромбозе и эмболиях. Выяснение и уточнение неясных сторон изучаемых процессов.
 - Изучение музейных препаратов с целью ознакомления с макроскопическими изменениями при тромбозе и эмболии путем описания макроскопических изменений, а затем микропрепараты путем изучения микропрепаретов под микроскопом.     
  
Перечень музейных препаратов: 
- Пристеночный тромб при артериосклерозе аорты.
 - Посмертный сверток крови в сердце трупа курицы или теленка.
 - Тромбоэмболия в легком человека.
 Затем приступают к изучению микропрепаратов.
 Перечень микропрепаратов 
- Тромбоз легочной артерии (красный тромб).
 - Смешанный тромб.
 - Организация тромба.
 Препарат: Смешанный тромб
 
Красные и белые тромбы в чистом виде практически встречаются сравнительно редко. Чаще приходится иметь дело с тромбами смешанными, которые по строению очень похожи на красные, особенно в участках,  богатых эритроцитами. Отличительным признаком смешанного тромба является то,  что в его состав входит много лейкоцитов. Лейкоциты, как и эритроциты,  распределяется в тромбе неравномерно. Большая часть лейкоцитов обнаруживается на периферии тромба,  ближе к стенке кровеносного сосуда;  в центре тромба,  где находятся скопища эритроцитов,  они встречаются в меньшем числе. Лейкоциты,   как и эритроциты,  лежат между волокнами свернувшегося фибрина поодиночке или группами. 
 
 
Рис.93. Смешанный тромб: 
1.	Слоисто-смешанный тромб
  
Некоторые особенности имеют слоисто-смешанные тромбы. Такие тромбы могут быть двоякого рода. Первые из них на поперечном сечении имеют вид чередующихся между собой концентрически расположенных слоев, из которых одни состоят из толстых или тонких прослоек плотно свернувшегося фибрина, а другие - из беспорядочно разбросанных иголчатых кристаллов гемосидерина. Среди кристаллов кое-где встречаются синие глыбки сморщенных или распавшихся (рексис) ядер лейкоцитов. Эритроциты в таких тромбах имеют вид теней или вообще не обнаруживаются.
 Вторые (для изучения берут хвостовую часть продолженного тромба) состоят из отдельных компактных, чередующихся между собой слоев, отличающихся друг от друга  только интенсивностью окраски. Одни из них окрашены гематоксилин-эозином в синевато-серый, другие в розовато-серый, а третьи в синий и даже темно-синий цвет (отложение солей извести). Все слои состоят из глыбчато-зернистой массы.
 Препарат:  Организация тромба
Организацией тромба называют замещение его соединительной тканью. Исходным материалом для роста и формирования грануляционной ткани являются клетки соединительной ткани затромбированного сосуда. Наиболее успешно происходит организация закупоривающего тромба.
 В начале процесса при слабом увеличении микроскопа обнаруживают усиленное размножение эндотелия, который внедряется в уже несколько разрыхленную тромбическую массу отдельными клиньями местами более диффузно. В это время отдельные оболочки сосудистой стенки еще хорошо заметны.
 При большом увеличении видно, что клетки размножающегося эндотелия разнообразной формы. Чаще всего они вытянуты и походят на молодые фибробласты, но встречаются также округлые и овальные формы. В дальнейшем одновременно с организацией тромботических масс вся интима инфильтрируется лимфоидными и эпителиоидными клетками, вследствие чего границы ее сглаживаются. Далее размножение клеток соединительной ткани усиливается и в мышечной оболочке стенки сосуда. Отдельные мышечные волокна ее отодвигаются друг от друга, а между ними скапливаются все в большем количестве эпителиоидные и лимфоидные клетки.  Волокна мускулатуры постепенно атрофируются, и границы мышечной оболочки исчезают.  К этому времени тромботические массы рассасываются, и весь просвет кровеносного сосуда заполняется молодой соединительной тканью, которая затем превращается в зрелую соединительную ткань.  По окончании процесса на месте кровеносного сосуда остается рубцовая соединительная ткань. Происходит полная облитерация кровеносного сосуда.
 
  
Рис.94. Организация тромба: 
1.	Усиленное размножение эндотелия; 
2.	Молодые фибробласты
  
Организация пристеночного тромба протекает с той же закономерностью, но в ограниченном масштабе и на ограниченной площади. Также происходит врастание в тромб эндотелиальных клеток и клеток, берущих начало из интимы, но мышечная оболочка в этом процессе затронута бывает мало. После полной организации тромба в этом участке остается рубцовая соединительная ткань,  которая на внутренней оболочке кровеносного сосуда образует разной величины утолщения. 
4. ИНФАРКТЫ
Инфарктом называется прижизненное омертвение участка органа или ткани в результате быстрой закупорки или спазма артерии, питающей данный участок. Причинами его бывают: тромбоз, эмболия, спазм сосудов и застойная гиперемия. Инфаркты чаще встречаются в тех органах, артерии которых имеют слабые анастамозы или потерявшие эластичность (артериосклероз, плазморрагия и др.). 
 По макроскопическому виду инфаркты делятся на: анемические,  геморрагические и смешанные. На разрезе они имеют характерную клиновидную или треугольную форму с основанием обращенным к поверхности, а вершиной - в глубь органа. (Повторяет строение разветвленного артериального сосуда). Окраска омертвевшей ткани будет различная. Анемический инфаркт возникает при полном прекращении притока артериальной крови и выдавливании ее в результате рефлекторного спазма сосудов. Застойные инфаркты бывают только геморрагическими. Геморрагический на фоне застойной гиперемии. В кишечнике,  головном мозге,  сердце инфаркты на разрезе не имеют треугольной формы (так как строение сосудов иное,  чем в селезенке и почках).  
 Исход инфаркта: если не произошла гибель организма в зоне инфаркта развивается реактивное воспаление и разрастается соединительная ткань,  при поверхностных инфарктах капсула при организации западает, и орган принимает бугристый вид. Если инфаркт развился в глубине органа, то макроскопически в исходе процесса виден серо-белый или желтовато-белый соединительно-тканный рубец. 
 
  
Рис.95. Геморрагические инфаркты селезенки
при чуме свиней.
  
 
 
Рис.96. Анемический белый инфаркт в селезенке лошади
  
 
 
Рис.97. Анемический белый инфарт в почке лошади
  
 
 
Рис.98. Белый инфаркт с красным ободком в почке 
при чуме свиней
  
 
 
Рис.99. Инфаркты в почке
при  чуме свиней
  
Своеобразный характер имеет исход инфаркта миокарда.  Инфарцированный участок размягчается, и если участок проникает на значительную толщину сердечной стенки, то в этих местах может развиться аневризма сердечной стенки.
 Целевая установка темы: 
Этиопатогенез. Морфологическая характеристика (микро - и макрокартина). Исходы. Значение для организма инфаркта.
 Основное внимание уделяется следующим вопросам: 
- Определение понятия инфаркт.
 - Факторы и условия, способствующие возникновению инфаркта. 
 - Классификация и морфологическая характеристика инфарктов.
 - Исходы инфарктов. Значание для организма.
  
Содержание занятия 
- Взаимная информация по патологическому процессу "Инфаркты". 
 - Изучение музейных препаратов с целью ознакомления с макроскопическими проявлениями инфарктов. Студенты письменно описывает макрокартину различных инфарктов, а затем микрокартину процессов и зарисовывают.
  
Перечень музейных препаратов 
- Геморрагический инфаркт в легком.
 - Анемический инфаркт селезенки.
 - Смещенный инфаркт в селезенке при чуме свиней.
 Перечень микропрепаратов 
- Анемический инфаркт почки.
 - Геморрагический инфаркт почки.
 Препарат: Анемический (Эмболический)
инфаркт почки
Рассматривая гистологический препарат невооруженным глазом, отмечают, что анемический инфаркт почки, если он весь уместился в срезе,  имеет клиновидную или треугольную форму, верхушкой обращен в мозговой слой. Гематоксилин-эозином этог треугольник окрашивается в розовый цвет, а пограничные участки в розово-синий или сине-фиолетовый.
 
  
Рис.100. Анемический (эмболический) инфаркт почки: 
1.	Бесструктурные бледно окрашенные извитые канальцы с лизированными 
ядрами эпителиальных клеток. Границы между клетками стерты; 
2.	Гиперемия (острая) сосудов.
  
При слабом увеличении микроскопа вначале исследуют некротический участок,  а затем живую ткань и, особенно, ее пограничную с инфарктом часть.  Кровеносные сосуды в мертвом участке пустые и только иногда на границе с живой тканью могут быть заполнены эритроцитами (особенно сосуды клубочков). Очертания канальцев и клубочков сохранены (если инфаркт недавнего происхождения),  но границы   клеток во многих канальцах незаметны,  в других они набухшие, бледно окрашены и бесструктурны,  а между канальцами и  в клубочках выступают в виде мельчайших синих точек.  Просветы некоторых канальцев выявляются от набухания  клеток,  а в части из них образуется зернистое вещество. На границе с   инфарктом - в живой части кровеносные сосуды расширены и заполнены эритроцитами.  Иногда встречаются диапедезные кровоизлияния. Если с момента  возникновения инфаркта прошло некоторое время,   между канальцами и в просвете некоторых канальцев заметно скопление клеток. Несколько отступя,  главным образом в канальцах мозгового слоя, могут наблюдаться отложения солей кальция, что устанавливается по  диффузному или пятнистому окрашиванию канальцев в синий цвет.
 При большом увеличении в зоне инфаркта все ткани находятся  в состоянии коагуляционного некроза и распада.  Ядра эпителия  канальцев полностью или частично   лизированы,  а ядра в клубочках и между канальцев в состоянии пикноза и рексиса. В пограничной, с инфарктом, живой тканью у большинства клеток структура сохранена и только в отдельных канальцах ядра, набухшие и бледно окрашенные (состояние лизиса).  Рассматривая кровеносные сосуды,  подтверждают,   что часть эритроцитов находится вне сосудов.  В просветах некоторых канальцев и между ними обнаруживается скопление полиморфноядерных лейкоцитов, а между канальцами встречаются эпителиоидные, лимфоидные клетки и гистиоциты. Инфильтрация лейкоцитами и гистиоцитарными клетками свидетельствует о начале организации анемического  инфаркта. В более поздней стадии в пограничной зоне развивается волокнистая соединительная ткань, и происходит врастание ее в мертвую ткань. В  дальнейшем процессы распада и рассасывания некротизированных тканей усиливается, тканевые клетки постепенно заполняют весь участок инфаркта,  по окончании процесса, здесь образуется зрелая соединительная ткань, которая срастается с капсулой участка и втягивает ее в глубь органа.
 Макрокартина: с наружной поверхности почек анемические инфаркты имеют вид разной величины и формы пятен,  окрашенных в серо-белый цвет. 
 Бледным цветом они резко отличаются от окружающей ткани,  особенно, когда инфаркты окаймлены темно-красным ободком (пограничная зона гиперемии).  Поверхность разреза   их мутная,  суховатая,   рисунок почечной ткани сглажен,  а клиновидная форма  выступает отчетливо. После организации инфаркта на   поверхности почки заметна впадина или углубление.  Капсула  в этом участке не снимается,  а на разрезе видна серо-бурая рубцовая соединительная ткань,   иногда  имеющая форму клина.  При множественных инфарктах  организация приводит к тому, что почка принимает бугристый,  неровно изрытый вид и становится очень плотной консистенции.
 Препарат: Геморрагический инфаркт почки
В почках геморрагический инфаркт,  так же как н анемический, бывает обычно тромбо-эмболического происхождения,  поэтому имеет клиновидную форму,  но  в отличие от анемического окрашен в темно-красный цвет.
 При слабом увеличении фиксируют внимание, прежде всего, на пограничной с инфарктом зоне.  Кровеносные сосуды ее расширены и переполнены кровью. Сам мертвый участок выглядит как обширное кровоизлияние.  Основная масса  крови располагается  между канальцами и в меньшей степени в просветах канальцев и клубочковых капсулах. Вследствие этого межканальцевые прослойки сильно расширены. Канальцы утратили присущую им форму и строение,  сдавлены и лишены просвета,  эпителиальная  выстилка  отсутствует,   в целом они имеют  вид различного очертания полей, окрашенных в розово-серые или розовато-фиолетовые тона.  В отдельных  канальцах  кое-где  еще  заметны сохранившиеся ядра,  но в большинстве канальцев они отсутствуют (лизис). Для более  детального  изучения  устанавливают большое увеличение. Уже беглый просмотр инфаркта подтверждает,  что  здесь произошел некроз.  Если клубочки хорошо  видны,    то от канальцев остались только следы. Клубочки,   расположенные  в зоне  инфаркта,  несколько увеличены, в большинстве тесно прилегают к капсулам,  а сосуды их сильно наполнены кровью.  Между отдельными  клубочковыми капсулами и клубочками имеются узкие просветы, заполненные эритроцитами или однородным розоватым веществом. 
 Большинство ядер эндо - и перителия клубочков в состоянии пикноза,   а ядро  клеток,   выстилающих  капсулу,   в состоянии лизиса. На месте  выстилающего эпителия    канальцев видна  однородная или зернистая   каемка.  Ядра  эпителия  или отсутствуют (лизис), или имеют вид теней, и только единичные ядра находят сморщенными (пикноз). Сохранившиеся в отдельных канальцах ядра, расположены неправильно. Эпителий тех канальцев,  просветы которых содержат эритроциты, превратился в однородную безъядерную узкую каемку. Эритроциты в таких канальцах границ чаще всего между собой не имеют, склеиваются друг с другом и образуют однородную массу. Межканальцевая соединительная ткань очень широкая,  далеко отодвигает  канальцы друг от друга, сдавливает их.  
 
  
Рис.101. Геморрагический инфаркт почки: 
1.	Кровоизлияния в межканальцевой зоне; 
2.	Некроз извитых канальцев
  
В этих прослойках очень много эритроцитов,  расположенных в просветах сосудов и вне них.  Последние лежат довольно тесно друг к другу, но свои очертания еще сохранили (если инфаркт недавнего происхождения).
 Среди эритроцитов  здесь иногда встречаются темно-синие пикнотические ядра клеток соединительной ткани, эндотелия сосудов и лимфолейкоцитов. Соединительнотканный рубец, являющийся следствием организации геморрагического инфаркта почек,  обычно окрашен в ржаво-бурый цвет,   вследствие наличия в нем пигмента гемосидерина.  Капсула почки над этим рубцом втянута вглубь коркового слоя. Геморрагические инфаркты в почках нередко  множественные, образуются у животных при некоторых заболеваниях в последние дни жизни,  вот почему их находят обычно в начальных стадиях  процесса.
 Препарат: Анемический инфаркт селезенки
При слабом увеличеиии находят участок бледно- розового цвета, на фоне  которого выделяются отдельно или кучками синие точки. 
 Этот участок окружает широкая,   местами узкая полоса,  красноватая или оранжевая.  Снаружи от полосы расположена ткань  селезенки со специфическим для нее  рисунком. Далее переходят к изучению  всех трех зон при большом увеличении микроскопа. Первая - центральная - или оксифильная зона состоит из бесструктурной и  глыбчато-зернистой массы,  содержащей в небольшом количестве темно-синие глыбки хроматина ядер (кариопикноз, кариорексис). Кучеобразное скопление пикнотических ядер, как показывает большое увеличение, наблюдается на месте омертвевших лимфофолликулов. В целом вид этой зоны соответствует таковому при коагуляционном некрозе.  Вторая - красноватая или оранжевая  зона представлена скоплениями эритроцитов (геморрагический пояс). 
 Последние расположены  частью в мертвой, частью в живой ткани.  При изучении третьей  зоны можно установить,  что в ней ткань живая,  сохранившая специфическое  строение.  Очень демонстративны изменения трабекул. Для изучения  можно взять  одну трабекулу,  часть которой погружена в зону инфаркта,  а часть находится в живой ткани. Участок трабекулы, расположенный в мертвой ткани, имеет однородный гомогенный вид, окрашен в розовый (эозином) цвет и не  содержащий ядер (лизис). Участок, расположенный в живой ткани, имеет обычное для трабекул строение. Когда эритроциты нафаршировывают не только пограничную зону, но и весь мертвый участок, говорят о геморрагическом инфаркте селезенки. В  дальнейшем на месте инфаркта вследствие организации формируется клиновидной формы рубец, который, срастаясь с капсулой селезенки, втягивает вглубь органа. 
 При организации геморрагического инфаркта соединительная ткань вследствие наличия в ней гемосидерина окрашивается в буровато-ржавый цвет.
 
  
Рис.102. Анемический инфаркт селезенки: 
1.	Некроз красной пульпы селезенки; 
2.	Некроз фолликула селезенки.
  
 
 
Рис.103. Анемический инфаркт селезенки: 
1.	Организация анемического инфаркта  (разрост фибробластических элементов в зоне некроза).
  
Макроскопически анемические инфаркты селезенки плотноватой консистенции и просвечивают сквозь капсулу в виде серо-белых неправильной формы пятен. Поверхность разреза их также бело-серого цвета,  имеет клиновидную форму с верхушкой, обращенной вглубь органа.
 Рисунок селезенки в участке инфаркта совершенно (сглажен) по периферии участок окружен темно-красным ободком - зона гиперемии.
  |