Модуль 1. Общая патологическая анатомия животных
Тема 1.3. Морфологические проявления нарушений  обмена веществ в тканях. Повреждения
 
1.3.1. Диспротеинозы
Лабораторный практикум
Краткий теоретический курс
 Лабораторный практикум
 Клеточные диспротеинозы
 1.1. Препарат: Зернистая дистрофия или мутное набухание почки
 1.2. Препарат: Зернистая дистрофия печени поросенка
 1.3. Препарат: Плоскоклеточный ороговевающий рак кожи (канкроид)
 Внеклеточные диспротеинозы
 2.1. Препарат: Амилоидная дистрофия почки
 2.2. Препарат: Амилоидоз печени
 2.3. Препарат: Амилоидная дистрофия селезенки
 2.4. Препарат: Гиалиноз соединительной ткани капсулы и трабекул лимфатического узла
  Смешанные диспротеинозы
 3.1. Препарат: Меланоз печени
 3.2. Препарат: Меланома кожи
 3.3. Препарат: Гемосидероз печени
 3.4. Препарат: Гемосидероз селезенки
 Контрольные вопросы к теме
 1.3.2. Нарушение жирового обмена веществ
 Лабораторный практикум
 1.3.3. Нарушение минерального обмена веществ
 Лабораторный практикум
  
Дистрофия - синоним дегенерация, перерождение - собирательное понятие, объединяющее разнообразные патологические процессы, возникающие в тканях и органах в связи с нарушением обмена веществ (белкового, жирового, минерального, углеводного, водного).                     Патоморфологическая сущность дистрофий состоит в изменении морфологического вида клеток и межуточного вещества в результате отложения в них продуктов нарушенного обмена веществ, в физиологических условиях этого не происходит. Механизм или патогенез дистрофий сложный и не всегда одинаковый. Развитие морфологических изменений в органах и тканях может быть связано: декомпозицией цитоплазмы клеток и межуточного вещества, выражающееся в расщеплении белково-жиро-углеводных комплексов; с патологической трансформацией (превращение одних веществ в другие); с инфильтрацией или пропитыванием и отложением в тканях  продуктов нарушенного обмена веществ. Этиология дистрофий самая разнообразная (физические, химические, биологические факторы), которые могут вызвать дистрофию. 
Классификация дистрофий окончательно еще не разработана. В настоящее время рациональным считают классифицировать дистрофии по виду нарушения обмена веществ. Исходя из этого принципа дистрофии подразделяют на белковые, жировые, углеводные, минеральные. Нарушение белкового обмена называют диспротеинозами. Различают клеточные диспротеинозы, внеклеточные и смешанные. 
Клеточные диспротеинозы
- Зернистая дистрофия 
- Водяночная дистрофия 
- Роговая дистрофия 
Целевая установка темы: 
Изучить морфологическую характеристику (макро- и микрокартину клеточных диспротеинозов). Зернистая дистрофия. Гиалиново-капельная. Водяночная (гидропоническая). Роговая. При каких инфекциях наиболее часто встречаются эти виды диспротеинозов. Примеры. Исходы. 
Основное внимание уделяется следующим вопросам: 
- Определение понятия дистрофии, в частности, клеточных диспротеинозов.
 - Виды клеточных диспротеинозов.
 - Макрокартина и микрокартина клеточных диспротеинозов.
 - Исход клеточных диспротеинозов.
 - Значение для организма. Примеры.
  
Содержание занятия: 
- Беседа с целью ознакомления с подготовленностью студентов к проведению лабораторного занятия по теме.
 - Изучение музейных препаратов с целью ознакомления с макроскопическими патологоанатомическими изменениями при дистрофии микропрепаратов. Студенты устно, а затем письменно, пользуясь схемой, учатся описывать обнаруживаемые морфологические изменения при клеточных диспротеинозах, а затем изучают микропрепараты.
  
Компьютерная презентация по теме «Клеточные диспротеинозы». 
Преподаватель поясняет патологические изменения по изучаемой теме, а затем студенты самостоятельно изучают патологические процессы на препаратах и зарисовывают схематически в тетрадях с обозначением стрелкой патологических изменений на рисунке. 
Перечень музейных препаратов: 
- Влажные препараты:
«Туберкулез птиц» 
 «Рожа свиней»,
 «Чума свиней».
  - Микропрепараты: 
«Зернистая дистрофия печеночных клеток»,                                                                                          
 «Острый серозный гломерулонефрит»,
 «Зернистая дистрофия почки», 
 «Рак канкроид».
   
1.1. Препарат: Зернистая дистрофия 
 или мутное набухание почки
Характерной особенностью процесса в почках является то, что он обнаруживается главным образом в извитых канальцах первого порядка, эпителий которых, как известно, обладает выделительной функцией и, следовательно, в первую очередь соприкасается с вредными веществами, выделяемыми из крови. Эпителий канальцев обычно поражается слабо, а в легких случаях изменения его вообще отсутствуют. 
Изучая препарат при слабом увеличении, находят корковый слой и обращают внимание на состояние канальцев. Прежде всего можно отметить, что границы эпителиальных клеток канальцев первого порядка неясно выражены, сами клетки набухшие, увеличены в объеме и конусовидно вдаются в просвет, суживая его. В зависимости от выраженности процесса, степень набухания эпителиальных клеток, а, следовательно, и сужение просветов неодинаковы, в одних канальцах просветы еще довольно хорошо различаются, в других они имеют вид щели или звездчатой фигуры и, наконец, встречаются канальцы, в которых просветы почти незаметны, ядра различаются не во всех клетках. 
При сильном увеличении можно установить характер изменения протоплазмы и ядер эпителиальных клеток, протоплазма их прозрачная, тусклая или слабо заметно зернистая. В наиболее пораженных клетках ядра не обнаруживаются или находятся в состоянии кариолизиса. В просветах канальцев можно видеть мелкозернистую или гомогенную массу белка – белковые цилиндры, которые обнаруживаются и в ниже расположенных отделах канальцев, куда они смешаются вместе с экскретом и выделяются из организма. 
Макроскопически почки имеют с поверхности неравномерную окраску: на розовато-сером и серо-глинистом фоне заметны красноватые полоски, пятна и точки. Консистенция почек дряблая, при разрезе паренхима несколько выступает из-под капсулы. 
  
 
Рис.13. Зернистая дистрофия почки (окраска Г-Э): 
1. Границы между эпителиальными клетками канальцев не выражены; 
2. Просветы канальцев незаметны, кариолизис ядер эпителиальных клеток канальцев
 Зернистая дистрофия почки (окраска Г-Э):
  
  
 
Рис.14. Зернистая дистрофия почки (окраска Г-Э): 
1.	Границы между эпителиальными клетками канальцев не видны, кариолизис их ядер
  
1.2. Препарат: Зернистая дистрофия 
 печени поросенка
Характерной особенностью процесса в печени является то, что его обнаруживают главным образом в печеночных клетках. Изучая препарат при малом увеличении, находим центральную вену и обращаем внимание; строение балочное печени нарушено. 
 Печеночные клетки увеличены в объеме, капилляры между клеток не просматриваются, кровь из них выдавлена увеличенными печеночными клетками. В других  местах видны беспорядочно расположенные белки, между которыми видны единичные эритроциты. Уже при малом увеличении можно увидеть, что цитоплазма печеночных клеток имеет зернистый вид. При большом увеличении отмечаем, что цитоплазма печеночных клеток имеет грубый зернистый вид (белковые зерна), ядро в одних случаях с плохо различаемой хроматиновой структурой, в других случаях видны лишь тени ядра, окрашенные в голубоватый цвет. Границы между клетками видны неотчетливо. 
  
 
Рис.15. Зернистая дистрофия печени (окраска Г-Э): 
1.	Междольковая вена 
2.	Балочное строение печени нарушено, видны беспорядочно расположенные балки 
3.	Желчный проток 
4.	Печеночные клетки увеличены, цитоплазма их имеет зернистый вид 
5.	Кариолизис ядер печеночных клеток (в виде теней ядра).
  
Макрокартина. 
Печень набухшая, несколько величена в объеме, сероватого цвета, дряблая, на разрезе рисунок ткани стерт, поверхность разреза суховатая. 
1.3. Препарат: Плоскоклеточный ороговевающий 
 рак кожи (канкроид)
На гистологических срезах при слабом увеличении микроскопа эпителиальная паренхима опухоли при гематоксилин-зозиновой окраске выступает в виде резко ограниченных участков окрашенных в синеватый или сине-фиолетовый цвет. Соединительнотканная строма вместе с кровеносными сосудами разделяет эти гнезда широкими и узкими прослойками. Гнезда паренхимы, являющиеся косо, поперек и продольно перерезанными ростками, имеют различное очертание и величину; наиболее типичная форма их вытянуто-овальная, иногда с отходящими короткими отростками. Центры многих раковых гнезд содержат роговое вещество зернистого или слоистого строения, окрашивающиеся эозином в темно-розовый цвет, а пикриновой кислотой в желтый. 
  
 
Рис.16. Плоскоклеточный ороговевающий рак кожи (канкроид) 
(окраска Г-Э): 
1.	Раковое гнездо; 
2.	Роговое вещество слоистого строения
  
Слоистые роговые тела при макроскопическом исследовании поверхности разреза опухоли представляются в виде мелких серовато-белых матовых плотных зерен, похожих на жемчуг, что и послужило поводом назвать этот рак жемчужным. 
При большом увеличении микроскопа отдельные клеточные островки паренхимы имеют сходство с эпидермисом кожи, производящему слою здесь соответствуют клетки, расположенные на самой перефирии эпителиального гнезда, а роговому слою – центр из роговых чешуек. Нередко можно проследить и переходные слои эпидермиса, соответствующие зернистому и светлому слоям. Гнезда без рогового вещества – это самые молодые корешки, или то, срез через которые прошел сбоку от роговых чешуек. В отличие от эпителия кожи в раковых гнездах плохо выступает дифференцировка слоев, особенно переходных; ороговевающие клетки очень долго сохраняют ядра, а рогового вещества образуется очень много (гиперкератоз). Последнее объясняется тем, что роговое вещество со всех сторон замкнуто клетками и не подвергается шелушению. 
Канкроид часто травмируется, вследствие чего в строме местами встречаются очаги воспаления с резко выраженной гиперемией, кровоизлияниями и обильной инфильтрацией лейкоцитами. 
В процессе роста канкроида образуются узловато-бугристые плотные образования, от которых далеко вглубь ткани отходят отростки, поэтому резкая граница раковой опухоли с окружающей тканью отсутствует. Иногда канкроид растет в виде инфильтрата. 
Внеклеточные диспротеинозы
К внеклеточным диспротеинозам относят патологический процесс, характеризующийся отложением между клетками соединительной ткани белковых веществ. К внеклеточным диспротеинозам относят гиалиноз и амилоидоз.
  АМИЛОИДОЗ  (амилоидная дистрофия)
Амилоидная дистрофия характеризуется отложением в ткани гомогенного бесцветного плотного вещества, называемого амилоидом, то есть крахмалоподобным. Это название амилоид получил благодаря способности окрашиваться так же, как и крахмал, в синий цвет при обработке его йодом и серной кислотой.
 По химической природе амилоид представляет собой белок (амилоидпротеин, близкий к глобулинам), находящийся в соединении с другими, недостаточно еще изученными химическими веществами. Установлено, что химический состав амилоида не всегда одинаков, чем объясняются неодинаковые его физические свойства.
 Амилоидная дистрофия бывает общего и местного характера.
 Общий амилоидоз проявляется отложением амилоидного вещества сразу во многих органах. Амилоид откладывается под аргирофильной мембраной мелких кровеносных сосудов, по ходу ретикулярных волокон и под базальной мембраной эпителиального покрова желез. При общем амилоидозе чаще поражается печень, селезенка, почки, надпочечники и др. органы.
 Макрокартина. 
При амилоидозе орган увеличивается в объеме, бледнее окрашен, плотной консистенции, у лошадей дряблой, поверхность разреза, особенно при сильной степени амилоидоза, восковидная, сухая.
 Микрокартина. 
В селезенке наблюдается отложение гомогенного бесструктурного вещества вокруг фолликулов селезенки и по ходу ретикулярных волокон; в печени между эндотелием капилляров и печеночными клетками; в почках под базальной мембраной эндотелия извитых канальцев и под аргирофильной мембраной эндотелия сосудистых клубочков и др.
 Местный амилоидоз. Характеризуется отложением амилоида на ограниченном участке в соединительную ткань или в стенку кровеносного сосуда.
 Этиология амилоидоза связана с различными заболеваниями, сопровождающимися нагноениями и некрозами тканей (абсцесс, актиномикоз, туберкулез и др.). Избыток белкового питания может привести к амилоидозу органов. Например, при откорме уток и гусей. Как правило, амилоидная дистрофия встречается у лошадей-продуцентов иммунных сывороток на биофабриках. Патогенез окончательно не выяснен.
 Исход амилоидоза.  
Амилоидоз необратимый процесс. Клетки органов и тканей при амилоидозе атрофируются и подвергаются некрозу. Часто наблюдается разрыв органа с кровоизлиянием в брюшную полость.
 Значение для организма. 
Клиническое значение имеет лишь общий амилоидоз, приводя к потере функциональной деятельности органа. Местный не оказывает влияния на функцию органа.
 Целевая установка темы: 
Определение понятия внеклеточного диспротеиноза (макро- и микрокартина). Этиопатогенез. Исходы. Значение для организма. При каких инфекционных заболеваниях чаще всего развиваются эти виды диспротеинозов. Примеры. 
Основное внимание уделяется следующим вопросам: 
Определение понятия гиалиноз, амилоидоз. Морфологическая характеристика. Исходы. При каких инфекционных заболеваниях наблюдаются этот вид диспротеинозов. 
Содержание занятия 
- Беседа с целью ознакомления с подготовленностью студен-тов и проведению лабораторного занятия по теме. Затем преподаватель поясняет непонятное.
 - Изучение музейных препаратов с целью ознакомления с макро- и микроскопическими изменениями при амилоидозе, гиалинозе.
 - Зачитывание студентами протоколов описания макропрепаратов.
  
Перечень влажных музейных препаратов 
- Кардиосклероз (нормальное сердце).
 - Атеросклероз аорты с пристеночным тромбом.
 - Атеросклероз аорты с пристеночным тромбом.
 - Атеросклероз с изъязвлением бляшек.
  
Пластинчатые препараты 
- Амилоидоз почки.
 - Склероз миокарда.
 - Атерсклероз аорты.
  
Микропрепараты 
- Гиалиноз трабекул и капсулы лимфатического узла при хроническом его воспалении.
 - Амилоидоз селезенки.
 - Амилоидоз печени.
 - Амилоидоз селезенки (саговая и ветчинная форма).
 - Амилоидоз почки.
  
Преподаватель дает краткую характеристику микрокартины внеклеточных диспротеинозов, а студенты самостоятельно на макро- и микропрепаратах изучают макро- и микрокартину внеклеточных дисперотеинозов. Зарисовывают схематически, в тетрадях, с обозначением стрелками изучаемых патологических процессов. 
Гиалиноз характеризуется отложением между клетками соединительной ткани бесструктурного гомогенного вещества, в результате чего пораженная ткань становится плотной, прозрачной, стекловидной. Гиалиноз по характеру распространения делится на общий и местный. Клиническое значение имеет общий гиалиноз сосудов (ретикулярной, соединительной ткани кровеносных сосудов) в основном наблюдающийся у высокопродуктивных коров при белковом типе кормления. В соединительной ткани кровеносных сосудов происходит набухание и гомогенизация коллагеновых волокон. В результате нарушается сосудисто-тканевая проницаемость и измененные волокна пропитываются белками. В результате соседние волокна сливаются, образуя плотные тяжи, балки или целые поля из однородной гиалиновой массы; клеточные элементы подвергаются атрофии и распаду. Местный гиалиноз наблюдается в исходе разнообразных патологических процессов:  при хронических воспалительных процессах в лимфатических узлах, селезенке, в соединительно-тканных рубцах, разращениях соединительной ткани вследствие хронического воспаления, в туберкулезных и паразитарных очагах, в стенке сосуда при артериосклерозе, чуме и других хронических инфекционных заболеваниях. 
2.1. Препарат: Амилоидная дистрофия почки
В начальной стадии процесса откладывается в клубочках, а в дальнейшем - в собственной оболочке канальцев и, наконец, при резко выраженной форме - между канальцами в межуточной соединительной ткани. 
В связи с отложением амилоида различаются атрофические изменения в канальцах, клубочках, заканчивающиеся распадом их. Исследуя препарат при слабом увеличении в ранних процессах в клубочках, можно еще различать сосудистое сплетение, ядра эндотелия, форменные элементы в просветах сосудов. Амилоид обнаруживается между сосудистыми петлями клубочка в виде небольших гомогенных глыбок, однако слабо окрашенных эозином. В сильно выраженных случаях амилоид сплошь заполняет клубочек; просветы сосудов сдавливаются, становятся неразличимыми, клетки эндотелия атрофируются, количество их постепенно уменьшается. 
Наконец, на высшей стадии процесса клубочки находят гомогенными и бедными ядрами, среди глыб или сплошных масс амилоида встречаются лишь единичные сохранившиеся ядра эндотелия.
 При отложении амилоида в капсуле клубочка последняя становится толстой, а структура ее может сливаться с пораженным клубочком. При отложении амилоида в собственной оболочке канальцев последняя резко утолщается и имеет вид гомогенных колец или муфт, окружающих канальцы. 
 Аналогичную картину дает амилоид и при отложении его в стенках сосудов. В тяжелых случаях амилоидоза эпителий канальцев, главным образом извитых, находится в состоянии вакуольной, зернистой или гиалиново - капельной дистрофии. Местами он уплощается (атрофия) и слущивается. В просветах канальцев - гомогенное белковое вещество - цилиндры. Наконец, может наступить атрофия канальцев, некроз и распад эпителия. Канальцы запустевают и спадаются, а между ними обнаруживает в большом количестве амилоид. В процессе отложения амилоид находят между соединительнотканными волокнами по ходу капилляров и в мозговом слое. 
  
 
Рис.17. Амилоидная дистрофия почки (окраска Г-Э): 
1.	Отложение амилоида в клубочке; 
2.	Единичные ядра эпителия в состоянии атрофии.
  
  
 
Рис.18. Амилоидоз клубочков в почке: 
1.	Отложение амилоидных масс в клубочке; 
2.	Отложение амилоида в стенке кровеносного сосуда; 
3.	Отложение амилоида в капсуле клубочка; 
4.	Кровеносные сосуды в состоянии гиперемии.
  
  
 
Рис.19. Амилоидоз эпителия извитых канальцев: 
1.	Амилоидоз эпителия извитых канальцев; 
2.	Амилоидоз клубочков; 
3.	Кровеносные сосуды в состоянии гиперемии
  
  
 
Рис.20. Амилоидоз клубочков в почке: 
1.	Амилоидоз клубочков с атрофией эндотелия капилляров; 
2.	Пролиферация из лимфоидных клеток; 
3.	Кровеносные сосуды в состоянии гиперемии. 
  
2.2. Препарат: Амилоидоз печени
В ранних стадиях процесса уже при слабом увеличении обнаруживаются тонкие гомогенные бледно окрашенные эозином в розоватый цвет тяжи или небольшие глыбки по ходу капилляров преимущественно в периферических частях долек, а также вокруг сосудов, в междольковой соединительной ткани. Печеночные балки сдавлены и деформированы. Просветы капилляров сужены. На поперечном разрезе амилоид образует вокруг них гомогенные кольца и муфты. Амилоид откладывается и в стенке центральной вены. 
  
 
Рис.21. Амилоидоз печени (окраска Г-Э): 
1.	Отложение амилоида между стенкой капилляра и печеночной балкой; 
2.	Отложение амилоида в интермедиарной зоне; 
3.	Атрофия печеночных клеток, балок.
  
В дальнейшем по мере прогрессирования процесса амилоид накапливается в органе все в больших количествах и отложения его находят как в интермедиальной зоне, так и в центральных частях долей. Откладываясь в дольках под эндотелием капилляров (между стенкой капилляра и печеночной балкой) амилоид сдавливает с одной стороны капилляры, а с другой - балки, нарушая питание ткани, вызывая атрофию и гибель печеночных клеток. 
  
 
Рис.22. Амилоидоз печени (окраска Г-Э): 
1.	Амилоидное перерождение печеночных клеток; 
2.	Атрофия печеночных балок.
  
Атрофированные балки имеют вид тонких, угловатых пластинок, потерявших взаимную связь. Пробегая в разных направлениях, они образуют как бы перемычки между массами амилоида. В протоплазме атрофированных клеток при сильном увеличении находят зерна пигмента липофусцина и капли жира. Ядра печеночных клеток также подвергаются изменениям (пикноз и др.) и распаду. 
Макроскопическая картина амилоидоза печени также неодинакова, в зависимости от степени выраженности процесса. На секции приходится сталкиваться обычно с резко выраженной формой, заканчивающейся, как правило, разрывом паренхимы органа и кровоизлиянием в брюшную полость. Печень в таких случаях бывает очень сильно увеличена в объеме и весе (у лошадей до 30 кг с лишним), дряблая, хрупкая, бледноокрашенная; на разрезе рисунок печеночных долек не различается. 
2.3. Препарат: Амилоидная дистрофия селезенки
В селезенке амилоид откладывается в пульпе по ходу ретикулярных волокон, под эндотелием синусов и в 
стенках сосудов. Исследуя препарат при слабом увеличении, можно легко найти пораженные фолликулы. Они 
увеличены в объеме, неправильно округлой формы и окрашены в бледно-розовый цвет. В зависимости от степени 
выраженности процесса структура их полностью или частично нарушена. При слабых формах поражения амилоид 
находится только в перифирических частях фолликулов, а в центре видны сохранившиеся лимфоидные элементы 
и перерезанная поперек фолликулярная артерия (одна или две-три ее веточки). Последняя может быть 
расположена эксцентрично. В случаях резко выраженного поражения амилоид сплошь заполняет фолликулы и они 
полностью теряют структуру. 
  
 
Рис.23. Амилоидное перерождение селезенки (диффузная форма). 
1.	Отложение амилоида в пульпе селезенки 
2.	Атрофия ядер ретикулярных клеток
  
При сильном увеличении микроскопа отложения амилоида в ткани имеют вид крупноглыбчатых масс, в которых 
можно различать щели по ходу сохранившихся ретикулярных волокон. При полном слиянии глыбок массы амилиода 
становятся гомогенными. Среди глыбок и сплошных масс амилоида находятся сдавленные, атрофирующиеся ядра 
ретикулярных клеток. Стенка фолликулярной артерии утолщена и гомогенизирована вследствие отложения в ней 
амилоида. При обильных отложениях амилоида в фолликулах и связанном с этим сильном увеличении последних в 
объеме прослеживаются атрофические изменения клеточных элементов пульпы в участках, непосредственно 
примыкающих к пораженным фолликулам. 
  
 
Рис.24. Амилоидное перерождение селезенки (саговая форма)(окраска Г-Э): 
1.	Отложение амилоида в фолликуле селезенки; 
2.	Клеточные элементы пульпы в состоянии атрофии.
  
Микрокартина: при слабом увеличении видно, что амилоид заполняет как фолликулы, так и всю 
остальную пульпу, поэтому границы фолликулов не различаются. Их можно определять местами лишь по небольшим 
скоплениям лимфоцитов и фолликулярным артериям - там, где они еще сохранились. В трабекулах амилоид 
откладывается в небольшом количестве, и они отчетливо выступают в виде волокнистых тяжей или округлоовальных 
островков (поперечное сечение). Трабекулы более интенсивно окрашиваются эозином по сравнению с массами амилоида. 
Исследуя препарат при сильном увеличении, можно установить, что амилоид откладывается по ходу ретикулярных 
волокон. Последние (специальная окраска) при сильных формах поражения выглядят значительно утолщенными, 
гомогенными. Особенно много амилоида по ходу синусов также становятся утолщенными и гомогенными, а просветы 
их расширяются. Клеточные элементы пульпы, расположенной между синусами и трабекулами, в состоянии атрофии и распада. 
При резко выраженных формах пульпа состоит из гомогенных масс амилоида, в которых только местами можно 
различать сохранившиеся в небольшом количестве лимфоциты и скопления эритроцитов (в синусах и за их пределами). 
Макрокартина: селезенка сильно увеличена в размерах, у лошадей вес ее может достигать 14 кг, 
тестоватая, а у человека и кошек плотной консистенции; пульпа на разрезе ярко-красного цвета, напоминает 
по окраске сырую ветчину, размягчена, легко соскабливается ножом; поверхность разреза саловидная, отсюда 
и название «ветчинная», или «сальная» селезенка. 
2.4. Препарат: Гиалиноз соединительной ткани 
 капсулы и трабекул лимфатического узла
Этот процесс наблюдается довольно часто при хроническом воспалении лимфатического узла или переходе воспаления 
с окружающей ткани на капсулу органа. При этом сначала происходит воспалительный разрост соединительной ткани в 
капсуле и трабекулах, а затем наступает гиалиноз ее. 
При слабом увеличении можно видеть, что капсула и трабекулы утолщены и интенсивно окрашены эозином. 
Фибриллярная структура их местами полностью нарушена, и они имеют вид гомогенных, бедных ядрами тяжей. Трабекулы 
особенно сильно изменены в местах их отхождения от капсулы. Наблюдается также утолщение, гомогенизация 
трабекулярных артерий и сужение их просвета (рис.20). 
  
 
Рис.25. Гиалиноз соединительной ткани капсулы (окраска Г-Э): 
1.	Исчезновение в трабекуле лимфоузла фибриллярной исчерченности.
  
При сильном увеличении хорошо видно, что в тех местах капсулы и трабекул, где фибриллярная структура полностью 
еще не нарушена, отдельные соединительнотканные волокна, сильно набухшие, утолщены. Расположенные между ними 
клетки - фибробласты, гистиоциты - сдавлены, в состоянии атрофии. В участках сильного поражения границы между 
отдельными волокнами совершенно не различаются, и соединительнотканные пучки полностью потеряли волокнистую 
структуру и превратились в однородную гиалиновую массу. Клетки в таких участках подверглись полному распаду. 
Макроскопически устанавливается утолщение и уплотнение капсулы, в которой иногда может откладываться 
известь. Гиалинизированная соединительная ткань капсулы и трабекул бледноокрашенная, полупросвечивающаяся. 
При слабом гиалинозе макроскопические изменения не обнаруживаются. 
Смешанные диспротеинозы
При смешанных диспротеинозах происходит нарушение белкового обмена в клетках и межклеточном веществе. Происходит при этом нарушение белкового обмена сложных белков - нуклеопротеидов, глюкопротеидов и хромопротеидов.
 Нарушение обмена нуклеопротеидов 
Конечным продуктом обмена нуклеопротеидов является мочевая кислота и ее соли. В нормальных условиях эти продукты находятся в растворенном состоянии и выделяются почками. При нарушении обмена нуклеопротеидов происходит избыточное образование мочевой кислоты и ее соли откладываются в тканях, что наблюдается при мочекислом диатезе и мочекислом инфаркте почек.
 Мочекислый диатез 
Характеризуется отложением у млекопитающих животных мочекислых солей в различные ткани и органы. Обычно отложение солей происходит в суставные поверхности пальцев, сухожилия, в хрящ ушной  раковины, почки и на серозные покровы. На месте отложения развиваются некрозы с последующим развитием вокруг них воспаления и в итоге разростом соединительной ткани.
 У птиц отложение мочекислых солей происходит в виде густой беловатой массы на серозных покровах грудо-брюшной полости, на перикарде, эпикарде, в почках,  в суставных поверхностях пальцев ног. Собаки болеют реже чем птицы. У птиц почки увеличены в объеме, усеяны беловатым налетом, на разрезе видны беловато-серые и желтовато-белые очажки. Под микроскопом находят лучистые кристаллы уратов, эпителий почечных канальцев в состоянии зернистой дистрофии и некроза, а строма инфильтрирована лимфоидными и гигантскими клетками.
 Отложение мочекислнх солей в суставы пальцев ног называется подагрой (от латинского-жесткий). При этом суставы опухают, деформируются, образуются плотные узлы (подагрические шишки).
 Мочекислый инфаркт почек - физиологическое состояние, встречающееся у новорожденных животных, проживших первые 7 суток, после чего он исчезает. В крови временно повышается концентрация мочевой кислоты,  которая не успевает выделиться почками. 
 Макрокартина: на поверхности разреза почек в мозговом слое выявляются радиально расположенные полоски красновато-желтого цвета. Эти полоски – скопление мочекислых солей.
 Нарушение обмена глюкопротеидов (слизистая дистрофия) 
Глюкопротеиды - сложные белки, содержащие в своем составе сложные углеводы. Глюкопротеиды, в состав которых входят мукопротеиды, называются мукопротеидами. Представителями мукопротеидов являются муцины и мукоиды.
 Муцины - составляют основу слизи,  которая вырабатывается эпителиальными клетками слизистых оболочек и желез. 
 Мукоиды - слизеподобные вещества, встречаются в различных тканях (костях,  хрящах, сухожилиях, стенках артерий и др.).
 Нарушение обмена глюкопротеидов выражается в накоплении слизи и слизеподобных веществ в тканях т.е. слизистая дистрофия, которая наблюдается в эпителии слизистых оболочек и желез, и в соединительной ткани.
 При острых воспалениях слизистых оболочек наблюдается слизистая дистрофия покровного эпителия, при этом увеличивается количество бокаловидных клеток,  а на поверхости ее большое количество легко смываемой слизи. При этом слизистые оболочки покрасневшие, набухшие. При хроническом воспалении, вследствие закупорки густым экссудатом выводных протоков желез густой слизью или сдавливания их разрастающейся соединительной тканью, образуются кисты. 
 Слизистая дистрофия соединительной ткани (волокнистой,  хрящевой, костной и жировой) проявляется ослизнением их, когда ткани принимают отечный или студневидный вид. 
 Исход может быть двояким.
 В слабой степени поражения или своевременном устранении причины, вызвавшей дистрофию, ткани приобретают нормальный вид. При далеко зашедшем процессе, вследствие распада тканей, образуется полости, содержащие слизь.
 Нарушение обмена хромопротеидов (пигментные дистрофии) 
Всем тканям и органам свойственная определенная окраска, которая обусловливается пигментами.
 Одни пигменты находятся в органах и тканях в растворенном состоянии, другие имеют вид зернистых или аморфных, или кристаллических отложений.
 Цвет ткани и органов при различных патологических состояниях зависит не только от содержания пигментов, а также от степени кровенаполнения,  отложения жира, гликогена, солей,  структурных нарушений тканевых элементов и других факторов.
 Пигменты по своему происхождению делятся на эндогенные (образующиеся в самом организме) и экзогенные, привносимые извне. 
 Эндогенные пигменты подразделяется на:
 
- Ангемоглобиногенные.
 - Гемоглобиногенные.
  
Ангемоглобиногенные образуется при метаболических процессах  из белка и жира.
 Гемоглобиногенные пигменты являются производными гемоглобина. К ангемоглобиногенным пигментам относятся меланин, липохром, липофусцин и лютеин.
 Меланин обусловливает окраску кожи,  волос,  оперения,  глаз и других органов. В физиологических и патологических условиях образование меланина идет ферментативным путем из тирозина и триптофана в клетках мальпигиева слоя эпидермиса, сетчатки и радужки глаз.
 Нарушение обмена меланина выражается в исчезновении  или увеличении его содаржания по сравнению с нормой,  а также в появлении пигмента в органах, где обычно он не встречается. Врожденное исчезновение меланина называется альбинизмом, а индивиды с этими свойствами альбиносами. Приобретенное отсутствие меланина в участках на коже называется лейкодермией. Повышенное содержание меланина в органах и тканях называется меланозом. Оно может быть местным и общим,  врожденным и приобретенным. (Избыток пигмента в коже физиологически наблюдается у животных с черным окрасом и является врожденным, загар на коже приобретенным).
 При меланозах органы и ткани или отдельные части приобретают черный цвет.
 Исход: при незначительных отложениях пигмента меланина в эпителиальных клетках он может бесследно рассасываться, в случаях интенсивного отложения происходит некроз клеток.
 Нарушение обмена гемоглобиногенных пигментов 
Источником гемоглобиногенных пигментов является гемоглобин эритроцитов. Высвобождение гемоглобина из эритроцитов называется гемолизом. В норме отживающие эритроциты подвергаются разрушению ретикуло-эндотелиальной системой селезенки,  костного мозга и печени. Эти же клетки РЭС обладают свойством образовывать пигменты: гемосидерин,  биллирубин.  В патологических условиях кроме увеличения образования указанных пигментов,  появляется новые пигменты: гематоидин,  гемофусцин, гематин и гематопорфирин. Гемосидерин - мелкозернистый,  аморфный железосодержащий пигмент золотисто-бурого или коричневого цвета.  В здоровом организме гемосидерин как продукт обмена гемоглобина обнаруживается в ретикулярных клетках селезенки,  костного мозга и лимфатических узлов. В патологических условиях происходит избыточное образование и отложение гемосидерина - гемосидероз.
 Гемосидерин дает реакции: при обработке срезов по Перлсу пигмент окрашивается в зеленовато-синий цвет, от действия сернистого аммония гемосидерин чернеет, не обесцвечивается перекисью водорода, чем и дифференцируется от меланина.
 Различают местный и общий гемосидероз. Общий гемосидероз наблюдается при внутрисосудистом гемолизе эритроцитов, который развивается в результате интоксикаций гемолитическими ядами (мышьяк, фосфор и др.),  при некоторых инфекционных заболеваниях (сепсис,  ИНАН,  сибирская язва,  пираплазмидозы и др). При этом эритроциты распадаются в кровеносном русле, и продукты распада их фагоцитируются многими ретикулярными клетками различных органов и преобразует его в гемосидерин. В результате органы приобретают ржаво-бурую окраску различной интенсивности в зави-симости от количества образовавшегося гемосидерина. Если организм не погибает  от интоксикации, то гемосидерин в органах рассасывается бесследно.
 Местный гемосидероз возникает при внесосудистом гемолизе эритроцитов, что отмечается при кровоизлияниях, и тогда местные ретикулярные клетки синтезируют гемосидерин и продукты распада эритроцитов. Участки эти выглядят бурыми или ржаво-бурыми пятнами (в органах и тканях называют их следами кровоизлияний). С течением времени он рассасывается, и орган принимает нормальный цвет. Желчный пигмент (биллирубин) входит в состав желчи. Биллирубин продукт распада гемоглобина,  образуется клетками ретикуло-эндотелиальной системы печени,  селезенки,  костного  мозга и лимфатических узлов. В норме биллирубин образуется в печени и вместе с желчыо поступает в желчный пузырь и кишечник. В патологических условиях биллирубин может поступать в кровь и окрашивать различные органы и ткани в желтый цвет. Желтая окраска органов и ткани носит название желтуха. Желтуха как симптом характеризует целую группу инфекционных заболеваний (ИЭМ,  лептоспироз,  гемоспоридиоз и др.). При резко выраженной желтухе все органы и ткани (за исключением мозга) окрашивается в желто-зеленый цвет; особенно ярко окрашиваются в желтый цвет слизистые оболочки, подкожная клетчатка,  жировая ткань,  интима сосудов и сердечных клапанов. При фиксации формалином ткани, пропитанные пигментами, приобретают зеленый цвет.  
 По этиологическим и патогенетическим признакам различает 3 вида желтухи:
 
- Механическую.
 - Паренхиматозную.
 - Гемолитическую.
  
Гематоидин.  
Этот пигмент появляется в патологических условиях.  Как правило, в кровоизлияниях, в тромбах в виде игольчатых единичных или множественных оранжево-зеленоватых кристаллов гематоидина.
 Целевая установка темы: 
Определение понятия смешанные диспротеинозы и их классификация. Этиопатогенез и морфологическая характеристика нарушения обмана нуклеопротеидов, глюкопротеидов, хромопротеидов. исход и значение для организма. При каких инфекционных заболеваниях чаще всего развивается этот вид диспротеинозов. Примеры. 
Основное внимание уделяется следующим вопросам: 
Определение понятия и сущность слизистой, пигментной дистрофии и мочекислого диатеза. 
Макро- и микрокартина. Исход. Значение для организма. Примеры. 
Перечень препаратов 
Влажные препараты: 
- Гемосидероз печени при ИНАН.
 - Рак желудка.
 - Меланосаркома кожи лошади.
 - Гемофусции в печени лошадей при ИЭМ.
  
Таблицы: 
Классификация пигментов 
Пластинчатые: 
- Меланоз печени.
 - Угольная пигментация легкого.
  
Муляжи: 
- Киста в яичнике коровы.
 - Меланома.
 - Гемохроматох почек свиньи.
 - Меланоз почки.
 - Пневмокониозы; 
 - Бурая атрофия печени;
 - Бурая атрофия миокарда;
 - Антракоз; 
 - Гемосидероз печени;
 - Гемосидероз ретикулярных клеток головного мозга;
 - Желтуха;
 - Гемосидероз печени;
 - Антракоз (2);
  
Микропрепараты: 
- Артериосклероз аорты.
 - Гемосидероз почек.
 - Желтуха.
 - Меланоз кожи.
 - Меланоз печени.
 - Гемосидероз селезенки (окр. на железо).
 - Гемосидероз печени.
  
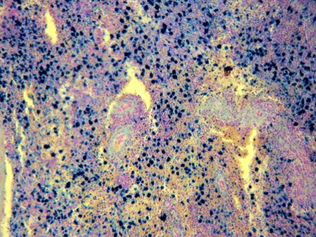
3.1. Препарат: Меланоз печени
Меланоз печени чаще встречается у крупного рогатого скота и овец. Наряду с диффузным отложением пигмента наблюдается очаговая пигментная инфильтрация печени как проявление общего меланоза, этиология которого еще недостаточно изучена. Кроме того, известны случаи меланоза печени и других органов, развивающегося в результате метастозов при распаде злокачественных меланом. 
  
 
Рис.26. Меланоз печени (окраска Г-Э): 
1.	Отложение глыбок и зерен меланина в печеночных клетках
  
При слабом увеличении устанавливают, что скопление пигмента в виде темно-бурых или черно-коричневых 
мелких зерен и глыбок располагаются по периферии долек и в междольковой соединительно ткани. 
При сильном увеличении отмечают, что пигмент находится в макрофагах междольковой соединительной 
ткани, главным образом вблизи и вокруг артериальных сосудов. Меланином нагружены также и звездчатые 
клетки капилляров. При резко выраженном меланозе пигмент обнаруживают и в цитоплазме печеночных клеток 
периферии долек. 
В клетках содержится неодинаковое количество пигмента. Цитоплазма и ядро клеток, нагруженных пигментов, 
находятся в состоянии атрофии. Некоторые клетки подверглись распаду. 
Макрокартина: внешний вид печени неодинаков, в зависимости от степени пигментации. При диффузном 
меланозе печень окрашена в серо-аспидный или шиферно-черный цвет. В начальной стадии процесса междольковая 
соединительная ткань и периферия долек окрашены в серо- или черно-коричневый цвет, центры долек выглядят 
бледнее. На коже остается серо-черный налет. При пятнистой пигментной инфильтрации в паренхиме печени 
обнаруживают сине-черные или шиферно-черные округло-овальные или неправильно очерченные пятна размером 
от точки до трехкопеечной монеты. Между пигментированными участками видна нормально окрашенная ткань. 
3.2. Препарат: Меланома кожи
Доброкачественная опухоль, которая обычно развивается в соединительно-тканном слое кожи. Меланома 
содержит большое количество меланина, что и обусловливает ее черный цвет (рис.22). 
При малом увеличении вредны черные, местами темно-коричневые глыбки пигмента, свободно лежащие между 
тяжами соединительной ткани. Кроме этого пигмент в виде черных зерен виден в цитоплазме клеток рыхлой 
неоформленной ткани (эпителиоидные, плазматические, тучные и др. клетки). Кроме того, пигмент виден и 
в соединительно тканной строме и в стенках кровеносных сосудов. При большом увеличении в одних участках 
клетки опухолевые нагруженные пигментом распались и он свободно лежит в виде грубых черных глыбок. В 
других пигмент в виде черных зерен располагается вокруг ядра, в третьих он полностью заполняет клетку и 
затушевывает контуры ядра. 
  
 
Рис.27. Меланома кожи: 
1.	Отложение глыбок меланина в цитоплазмеопухолевых клеток
  
3.3. Препарат: Гемосидероз печени
  
 
Рис.28. Гемосидероз печени: 
1.	Глыбки гемосидерина в ретикуло-эндотелиальных клетках; 
2.	Беспорядочное расположение печеночных балок печени. Зернистая дистрофия печеночных клеток
  
При малом увеличении находим центральную вену, от нее идут печеночные балки, которые иногда расположены 
беспорядочно, отмечаем, что клетки печеночные в состоянии зернистой дистрофии. Между печеночными балками 
и в триадах печени видим разрост ретикулярных клеток, в которых видны глыбки ржано-коричневого цвета 
(окраска Г-Э) или голубого цвета (окраска по Перлсу) пигмента гемосидерина. Гемосидерин в одних участках 
расположен равномерно, в других участках в виде кучек (это в случаях разроста ретикуло эндотелиальных 
клеток в виде пролифератов) (рис.23). 
  
 
Рис.29. Гемосидероз печени (окраска по Перльсу): 
1.	Разрост ретикулярных клеток в которых видны глыбки гемосидерина голубого цвета; 
2.	Центральная вена; 
3.	Печеночные клетки в состоянии зернистой дистрофии.
  
При большом увеличении видим, что пигмент отложился в цитоплазме крупных клеток - это гистиоциты, которые располагаются между печеночными клетками и внутридольковыми капиллярами. Не все клетки содержат одинаковое количество пигмента. В одних его мало, в других вся цитоплазма клеток заполнена пигментом и ядро ее плохо различается. таких клеток много вокруг центральной вены. 
Макрокартина: слабой степени гемосидероз на вскрытии не выявляется. При сильном гемосидеррозе печень имеет ржаво-бурую окраску и вид мускатного ореха. Центры долек имеют ржаво-бурую окраску или темно-коричневый цвет, а периферия - бледно-серый цвет. 
3.4. Препарат: Гемосидероз селезенки
При малом увеличении находим фолликулы селезенки, в центре которых видны 2-3 селезеночные артерии и 
лимфоидные клетки; трабекулы селезенки, которые связаны с капсулой, и красную пульпу (лимфоидные, 
ретикулярные клетки, синусы и др.) (рис.24). 
  
 
Рис.30. Гемосидероз селезенки (окраска по Перльсу): 
1.	Селезеночная артерия; 
2.	Трабекулы селезенки; 
3.	Красная пульпа; 
4.	Глыбки гемосидерина в ретикулярных клетках
  
  
 
Рис.31. Гемосидероз селезенки (окраска на железо по Перльсу): 
1.	Трабекула селезенки; 
2.	Кровеносный сосуд в фолликуле; 
3.	Лимфофоликул с голубыми ретикулярными клетками (железо в их цитоплазме); 
4.	Глыбки гемосидерина в ретикулярных клетках селезенки
  
При большом увеличении отмечает гиперплазию фолликулов, пролиферацию ретикулоэндотелиальных клеток 
вокруг фолликулов, синусов, в красной пульпе, в цитоплазме которых находятся в большом количестве ржаво-бурые 
(окраска Г-Э) или голубые (окраска по Перлсу) глыбки пигмента гемосидерина. 
Макрокартина: селезенка увеличена в объеме, консистенция зависит от остроты процесса инфекционного заболевания. 
В острых случаях мягкая, в хронических плотная. В слабой степени гемосидероза он не выявляется, в сильных случаях 
гемосидероза орган принимает неравномерную или равномерную окраску ржаво-бурого цвета. 
Контрольные вопросы к теме
- Определение понятия клеточных диспротеинозов.
 - Макро- и микрокартина зернистой дистрофии печени, почек, сердечной и поперечно-полосатой мышцы.
 - Исходы. Клиническое значение клеточных диспротеинозов. При каких заболеваниях наиболее часто встречаются эти патологические процессы.
 - Определение понятия внеклеточных диспротеинозов.
 - Разновидности внеклеточных диспротеинозов, механизм их развития и морфологическая характеристика амилоидоза и гиалиноза.
 - Исход гиалиноза, амилоидоза, значение для организма. При каких заболеваниях чаще всего встречаются эти патологические процессы. Примеры.
 - Определение понятия смешанные диспротеинозы;
 - Разновидности смешанных диспротеинозов, механизм их развития и морфологическая характеристика слизистой, 
пигментной дистрофий, мочекислого диатеза.
 - Исход слизистой дистрофии, мочекислого диатеза, меланоза, гемосидероза. При каких заболеваниях наиболее
часто развиваются эти процессы. Примеры.
  
 
 |