Модуль 1. Общая патологическая анатомия животных
Тема 1.3. Морфологические проявления нарушений обмена веществ в тканях. Повреждения
1.3.1. Диспротеинозы
1.3.1. Диспротеинозы
Краткий теоретический курс
Клеточные диспротеинозы
1.1. Зернистая дистрофия
1.2. Водяночная (гидропоическая дистрофия)
1.3. Роговая дистрофия
Внеклеточные диспротеинозы
2.1. Амилоидоз
2.2. Гиалиноз
Смешанные диспротеинозы
3.1. Нарушение обмена нуклеопротеидов
3.2. Нарушение обмена глюкопротеидов (слизистая дистрофия)
3.3. Нарушение обмена хромопротеидов (пигментные дистрофии)
Лабораторный практикум
Контрольные вопросы к теме
1.3.2. Нарушение жирового обмена веществ
Лабораторный практикум
1.3.3. Нарушение минерального обмена веществ
Лабораторный практикум
Дистрофия (греч. dys - расстройство, trophe - питание) - морфологические изменения в отганах и тканях вследствие общего или местного нарушения обмена веществ, вызываемого различными экзогенными или эндогенными причинами (механические, физические, химические, биологические и генетические факторы). Синоним дегенерация, перерождение - собирательное понятие, объединяющее разнообразные патологические процессы, возникающие в тканях и органах в связи с нарушением обмена веществ (белкового, жирового, минерального, углеводного, водного). Патоморфологическая сущность дистрофии состоит в изменении морфологического вида клеток и межуточного вещества в результате отложения в них продуктов нарушенного обмена веществ, в физиологических условиях этого не происходит.
Функциональное проявление заключается в нарушении морфофункционального состояния органов (при ослаблении сердечной деятельности при белковой дистрофии миокарда). После устранения причины клеточный метаболизм обычно нормализуется, в результате чего поврежденные органы восстанавливаются. Если же причинный фактор продолжает действовать, дистрофические изменения усиливаются и могут быть необратимыми, т.е. закончиться омертвением или некрозом тканевых и клеточных элементов.
Этиология дистрофий. Причиной дистрофии могут быть самые разнообразные факторы:
- Физические - ожоги, отморожение, радиационное облучение;
- химические - действие кислот, щелочей;
- Биологические - действие патогенных бактерий, вирусов, паразитов.
Патогенез. Механизм или патогенез дистрофий сложный и не всегда одинаковый. Развитие морфологических изменений в органах и тканях может быть связано:
- С декомпозицией цитоплазмы клеток и межклеточного вещества, которое выражается в расщеплении белково-жиро-углеводных комплексов цитоплазмы органов или тканей.
- С патологической трансформацией одних веществ в другие. Например, при недостатке липотропных факторов в кормах перестают образовываться фосфолипиды (собственные жиры организма, которые расходуются организмом для энергетических и других целей), тогда нейтральные жиры кормов начинают откладываться в печени, подкожной клетчатке в избыточных количествах.
- С инфильтрацией или пропитыванием и отложением в тканях продуктов нарушенного обмена веществ. Например, при гнойной хронической бронхопневмонии в крови появляются патологические белки-парапротеины, которые выделяясь почками откладываются в них, вызывая амилоидоз почек.
Классификация дистрофий окончательно еще не разработана. В настоящее время рациональным считают классифицировать дистрофии по виду нарушения обмена веществ. Исходя из этого принципа дистрофии подразделяют на белковые, жировые, углеводные, минеральные. Нарушение белкового обмена называют диспротеинозами. Различают клеточные диспротеинозы, внеклеточные и смешанные.
Клеточные диспротеинозы
1.1. Зернистая дистрофия
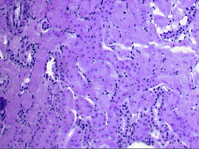
Зернистая дистрофия, или мутное набухание печени, вид белковой дистофии, характеризующийся появлением в цитоплазме клеток зерен и капель белковой природы. В этот дистрофический процесс вовлекаются паренхиматозные органы (печень(рис.1, 1а), почки (рис.2), миокард), реже скелетные мышцы. Этот вид дистрофии наиболее часто развивается при острых инфекционных и септических заболеваниях с/х животных. Таких как сибирская язва, пастереллез, рожа, свиней, колибактериоз и др. при вирусных заболеваниях (чума свиней, птиц, ящур, ЗКГ и др.).

Рис.1. Зернистая дистрофия печени.
Микроскопические признаки зернистой дистофии характеризуются набуханием (увеличением клеток и зерностостью цитоплазмы, уменьшаются просветы внутридольковых синусоидных капилляров; цитоплазма печеночных клеток становится мутной, богатой гранулами или каплями, белковая природа которых определяется гистохимичечкими методами.

Рис.2. Зернистая дистрофия печени.
Макроскопически органы при зернистой дистрофии набухшие, дряблой консистентности, окрашены бледнее, чем в норме. На разрезе паренхима выбухает за капсулу, поверхность разреза тусклая, суховатая. Сердечная скеленая мышца напоминает ошпаренное кипятком мясо, а печень и почки серовато-бурый цвет.
Дифференциальный диагноз. При посмертной тусклости (бледности) при разрезе паренхима не выбухает за капсулу, т.е. не происходит его увеличения.
Исход зернистой дистрофии.
Зернистая дистрофия печени сопровождается функциональной недостаточностью органа. При устранении причин, вызывающих зернистую дистрофию, возможно возврат к исходному состоянию, т.е. она является обратимым процессом. При далеко зашедших процессах развивается некроз тканей.

Рис.3. Зернистая дистрофия почки.
Значение для организма.
Ослабление функциональной активности. В сердце - сердечная слабость.
1.2. Водяночная
(гидропическая дистрофия)
Этот вид белковой дистрофии проявляется образованием в цитоплазме клеток вакуолей различной величины, содержащих прозрачную жидкость.
Мироскопически ганглиозные клетки увеличины, содержат мелкую, пылевидную, частично растворенную нисслевскую зернистость, с образованием светлых, оптических пустых пространств в нейроплазме и вокруг ядра. Частичный хроматолиз ведет к появлению разного размера и локализации вакуолей, содержащих прозрачную жидкость; возможны полное растворение, гибель клеток (кариоцитолиз). Необходимо учитывать, что сходную картину дают жировая дистрофия, когда образцы органов обрабатывают спиртом, а также гликоген из органов, обработанных в водных растворах фиксаторов(рис.3).

Рис.4. Гидропическая дистрофия.
Макроскопически органы при слабых формах поражения не имеют характерной картины. Как правило, этот вид дистрофии наблюдается при серозном воспалении (чаще эпидермиса кожи), связанным с таким заболеванием как ящур крупного рогатого скота, оспа млекопитающих животных, лучевая болезнь и др.
В дифференциально – диагностическом плане необходимо водяночную дистрофию отличать от жировой. При окраске на жир суданом III жировые капли окрашиваются в оранжево-красный цвет, окрашивание вакуолей с жидкостью не происходит.
Исход.
Функция органов резко снижена. В ранней стадии процесса восстановление клеток возможно, но чаще клетки подвергнувшиеся водяночной дистрофии некротизируются. Процесс необратимый.
1.3. Роговая дистрофия
Роговая дистрофия (патологическое ороговевание, гиперкератоз кожи) – образование в клетках эпидермиса или эпителия кужанного типа рогового вещества (кератина). В норме процессы ороговевания наблюдаются в эпидермисе. В патологических условиях может быть избыточное образование рога (гиперкератоз) и качественное нарушение рогообразования (паракератоз). Ороговение может быть и в слизистых оболочках (лейкоплакия). Возникает как нарушение обмена веществ в коже при механических, физико-химических и биологических воздействиях на орган, а также в связи с витаминной, минеральной или белковой недостаточностью.
Мироскопически отмечают неравномерное утолщение эпидермиса при гиперплазии клеток мальпигиевого слоя и утолщение рогового слоя в результате избыточного накопления в клетках рогового вещества, или кератина.При гиповитаминозе А возможна метаплазия железистого эпителия в ороговевающий (рис.4).

Рис.5. Роговая дистрофия.
Примерами гиперкератоза могут быть сухие мозоли, ихтиоз (рыбья кожа), рак канкроид (твердый рак).
Паракератоз выражается в утрате способности клеток эпидермиса вырабатывать кератогиалин. При этом состоянии роговой слой утолщен, рыхлый на поверхности кожи образуются чешуйки.
Гиалиново-капельная дистрофия. Этот вид дистрофии наблюдается при хронических пиэлонефритах и характеризуется отложением в извитых, прямых канальцах, а также в клубочках почек гиалинового вещества.
Целевая установка темы:
Изучить морфологическую характеристику (макро- и микрокартину клеточных диспротеинозов). Зернистая дистрофия. Гиалиново – капельная. Водяночная (гидропическая). Роговая. При каких инфекциях наиболее часто встречаются эти виды диспротеинозов. Примеры. Исходы.
Основное внимание уделяется следующим вопросам:
- Определение понятия дистрофии, в частности, клеточных диспротеинозов.
- Виды клеточных диспротеинозов.
- Макрокартина и микрокартина клеточных диспротеинозов.
- Исход клеточных диспротеинозов.
- Значение для организма. Примеры.
Внеклеточные диспротеинозы
К внеклеточным диспротеинозам относят патологический процесс, характеризующийся отложением между клетками соединительной ткани белковых веществ. К внеклеточным диспротеинозам относят гиалиноз и амилоидоз.
2.1. Амилоидоз
Амилоидная дистрофия характеризуется отложением в ткани гомогенного бесцветного плотного вещества, называемого амилоидом, то есть крахмалоподобным. Это название амилоид получил благодаря способности окрашиваться так же, как и крахмал, в синий цвет при обработке его йодом и серной кислотой, хотя он не имеет ничего общего с крахмалом.
По химической природе амилоид представляет собой белок (амилоидпротеид, близкий к глобулинам), находящийся в соединении с другими, недостаточно еще изученными химическими веществами. Установлено, что химический состав амилоида не всегда одинаков, чем объясняется неодинаковые его физические свойства.
Амилоидная дистрофия бывает общего и местного характера.
Общий амилоидоз проявляется отложением амилоидного вещества сразу во многих органах. Амилоид откладывается под аргирофильной мембраной мелких кровеносных сосудов, по ходу ретикулярных волокон и под базальной мембраной эпителиального покрова желез. При общем амилоидозе чаще поражается печень, селезенка, почки, надпочечники и др. органы.
Макрокартина.
При амилоидозе орган увеличивается в объеме, бледнее окрашен, плотной консистенции, у лошадей дряблой, поверхность разреза, особенно при сильной степени амилоидоза, восковидная, сухая.
Микрокартина.
В селезенке наблюдается отложение гомогенного бесструктурного вещества вокруг фолликулов селезенки и по ходу ретикулярных волокон; в печени между эндотелием капилляров и печеночными клетками; в почках под базальной мембраной эндотелия извитых канальцев или под аргирофильной мембраной эндотелия сосудистых клубочков и др. (рис.5).

Рис.6. Амилоидная дистрофия селезенки (саговая форма).
Местный амилоидоз.
Характеризуется отложением амилоида на ограниченном участке в соединительную ткань или в стенку кровеносного сосуда.
Этиология амилоидоза связана с различными заболеваниями, сопровождающимися нагноениями и некрозами тканей (абсцесс, актиномикоз, туберкулез и др.). Избыток белкового питания может привести к амилоидозу органов. Например, при откорме уток и гусей. Как правило, амилоидная дистрофия встречается у лошадей – продуцентов иммунных сывороток на биофабриках. Патогенез окончательно не выяснен.
Исход амилоидоза.
Как правило, амилоидоз необратимый процесс. Клетки органов и тканей при амилоидозе атрофируются и подвергаются некрозу. Часто наблюдается разрыв органа с последующим кровоизлиянием в брюшную полость, что часто наблюдается у лошадей продуцентом сыворотки на биофабриках.
Значение для организма.
Клиническое значение имеет лишь общий амилоидоз, приводя к потере функциональной деятельности органа. Местный не оказывает влияния на функцию органа.
2.2. Гиалиноз
Характеризуется скоплением между клетками соединительной ткани бесструктурного гомогенного вещества, в результате чего пораженная ткань становится плотной, прозрачной, стекловидной. Гиалиноз по характеру распространения делится на общий и местный. Клиническое значение имеет общий гиалиноз сосудов (ретикулярной, соединительной ткани кровеносных сосудов) в основном наблюдающийся у высокопродуктивных коров при белковом типе кормления. В соединительной ткани кровеносных сосудов происходит набухание и гомогенизация коллагеновых волокон. В результате нарушается сосудисто - тканевая проницаемость и измененные волокна пропитываются белками. В результате соседние волокна сливаются, образуя плотные тяжи, бляжки или целые поля из однородной гиалиновой массы; клеточные элементы подвергаются атрофии и распаду. Местный гиалиноз наблюдается в исходе разнообразных патологических процессов (при хронических воспалительных процессах в лимфатических узлах, селезенке, в соединительнотканных рубцах, разращениях соединительной ткани вследствие хронического воспаления, в туберкулезных и паразитарных очагах, в стенке сосуда при артериосклерозе, чуме и других хронических инфекционных заболеваниях (рис.6).

Рис.7. Гиалиноз соединительной ткани капсулы.
Макрокартина. Органы и ткани подвергаются гиалинозу плотные сходны по внешнему виду с гиалиновым хрящем.
Исход. Как правило процесс необратим.
Клиническое значение. Если поражаются сосуды в органах ослабляется функция и процесс может закончится разрывом сосудов. Если местного характера гиалиноз, то как правило клинического значения не имеет.
Смешанные диспротеинозы
При смешанных диспротеинозах происходит нарушение белкового обмена в клетках и межклеточном
веществе. Происходит при этом нарушение белкового обмена сложных белков - нуклеопротеидов,
глюкопротеидов и хромопротеидов.
3.1. Нарушение обмена нуклеопротеидов
Конечным продуктом обмена нуклеопротеидов является мочевая кислота и ее соли. В нормальных условиях эти продукты находятся в растворенном состоянии и выделяются почками. При нарушении обмена нуклеопротеидов происходит избыточное образование мочевой кислоты и ее соли откладываются в тканях, что наблюдается при мочекислом диатезе и мочекислом инфаркте почек.
Мочекислый диатез
Характеризуется отложением у млекопитающих животных мочекислых солей в различные ткани и органы. Обычно отложение солей происходит в суставные поверхности пальцев, сухожилия, в хрящ ушной раковины, почки и на серозные покровы. На месте отложения развиваются некрозы с последующим развитием вокруг них воспаления и в итоге разростом соединительной ткани.
У птиц отложение мочекислых солей происходит в виде густой беловатой массы на серозных покровах грудо-брюшной полости, на перикарде, эпикарде, в почках, в суставных поверхностях пальцев ног. Собаки болеют реже чем птицы. У птиц почки увеличены в объеме, усеяны беловатым налетом, на разрезе видны беловато-серые и желтовато-белые очажки. Под микроскопом находят лучистые кристаллы уратов, эпителий почечных канальцев в состоянии зернистой дистрофии и некроза, а строма инфильтрирована лимфоидными и гигантскими клетками.
Отложение мочекислых солей в суставы пальцев ног называется подагрой (от латинского - жесткий). При этом суставы опухают, деформируются, образуются плотные узлы (подагрические шишки).
Мочекислый инфаркт почек - физиологическое состояние, встречающееся у новорожденных животных,проживших первые 7 суток, после чего он исчезает. В крови временно повышается концентрация мочевой кислоты, которая не успевает выделиться почками.
Макрокартина: на поверхности разреза почек в мозговом слое выявляются радикально расположенные полоски красновато-желтого цвета. Эти полоски - скопление мочекислых солей.
Исход процесс необратимый.
Клиническое значение. Осложняется процесс воспалением органов и тканей и анкилозом суставов, пальцев.
3.2. Нарушение обмена глюкопротеидов
(слизистая дистрофия)
Глюкопротеиды - сложные белки, содержащие в своем составе сложные углеводы. Глюкопротеиды, в состав которых входят мукопротеиды, называются мукопротеидами. Представителями мукопротеидов являются муцыны и мукоиды.
Муцыны - составляют основу слизи, которая вырабатывается эпителиальными клетками слизистых оболочек и желез.
Мукоиды- слизеподобные вещества встречаются в различных тканях (костях, хрящах, сухожилиях, стенки артерий и др.).
Нарушение обмена глюкопротеидов выражается в накоплении слизи и слизеподобных веществ в тканях, т.е. слизистая дистрофия, которая наблюдается в эпителии слизистых оболочек и желез и в соединительной ткани.
При острых воспалениях слизистых оболочек наблюдается слизистая дистрофия покровного эпителия, при этом увеличивается количество бокаловидных клеток, а на поверхности ее большое количество легко смываемой слизи. При этом слизистые оболочки покрасневшие, набухшие. При хроническом воспалении вследствие закупорки густым экссудатом выводных протоков желез густой слизью или сдавливания их разрастающейся соединительной тканью образуются кисты.
Слизистая дистрофия соединительной ткани (волокнистой, хрящевой, костной и жировой) проявляется ослизнением их, когда ткани принимают отечный или студневидный вид.
Исход может быть двояким.
В слабой степени поражения или своевременном устранении причины, вызвавшей дистрофию, ткани приобретают нормальный вид. При далеко зашедшем процессе, вследствие распада тканей, образуются полости, содержащие слизь.
Клиническое значение. Зависит от степени поражения.
3.3. Нарушение обмена хромопротеидов
(пигментные дистрофии)
Всем тканям и органам свойственна определенная окраска, которая обусловливается пигментами. Одни пигменты находятся в органах и тканях в растворенном состоянии, другие имеют вид зернистых или аморфных, или кристаллических отложений.
Цвет ткани и органов при различных патологических состояниях зависит не только от содержания пигментов, а также от степени кровенаполнения, отложения жира, гликогена, солей, структурных нарушений тканевых элементов и других факторов.
Пигменты по своему происхождению делятся на эндогенные (образующиеся в самом организме) и
экзогенные, привносимые извне.
Эндогенные пигменты подразделяются на:
- Ангемоглобиногенные..
- Гемоглобиногенные.
Ангемоглобиногенные образуются при метаболических процессах из белка и жира.
Гемоглобиногенные пигменты являются производными гемоглобина.
К ангемоглобиногенным пигментам относятся мелании, липохром, липофусцин и лютеин.
Мелании обусловливает окраску кожи, волос, оперения, глаз и других органов при нарушении его обмена. В физиологических и патологических условиях образование меланина идет ферментативным путем из тирозина и триптофана в клетках мальпигиева слоя эпидермиса, сетчатки и радужки глаз.
Нарушение обмена меланина выражается в исчезновении или увеличении его содержания по сравнению с нормой, а также в появлении пигмента в органах, где обычно он не встречается. Врожденное исчезновение меланина называется альбинизмом, а индивиды с этими свойствами альбиносами. Приобретенное отсутствие меланина в участках на коже называется лейкодермией. Повышенное содержание меланина в органах и тканях называется меланозом (рис.7).

Рис.8. Меланоз печени.
Оно может быть местным и общим, врожденным и приобретенным. (Избыток пигмента в коже физиологически наблюдается у животных с черным окрасом и является врожденным, загар на коже приобретенным.).
При меланозах органы и ткани или отдельные части приобретают черный цвет (рис.8).

Рис.9. Меланома кожи.
Исход: при незначительных отложениях пигмента механика в эпителиальных клетках он может бесследно рассасываться, в случаях интенсивного отложения происходит некроз клеток. Клиническое значение - от степени поражения.
Нарушение обмена гемоглобиногенных пигментов
Источником гемоглобиногенных мигментов является гемоглобин эритроцитов. Высвобождение гемоглобина из эритроцитов называется гемолизом. В норме отживающей эритроциты подвергаются разрушению ретикуло - эндотелиальной системой селезенки, костного мозга и печени. Эти же клетки РЭС обладают свойством образовывать пигменты: гемосидерин, биллирубин. В патологических условиях кроме увеличения образования указанных пигментов, появляются новые пигменты: гематоидин, гемофусцин, гематин и гематопорфирин.
Гемосидерин - мелкозернистый, аморфный железосодержащий пигмент золотисто-бурого или коричневого цвета. В здоровом организме гемосидерин как продукт обмена гемоглобина обнаруживается в ретикулярных клетках селезенки, костного мозга и лимфатических узлов. В патологических условиях происходит избыточное образование и отложение гемосидерина - гемосидероз (рис.9).

Рис.10. Гемосидероз почек.
Гемосидерин дает реакции: при обработке срезов по Перльсу пигмент окрашивается в зеленовато-синий цвет, от действия сернистого аммония гемосидерин чернеет, не обесцвечивается перекисью водорода, чем и диффенерцируется от меланина.
Различают местный и общий гемосидероз.
Общий гемосидероз наблюдается при внутрисосудистом гемолизе эритроцитов, который развивается в результате интоксикаций гемолитическими ядами (мышьяк, фосфор и др.), при некоторых инфекционных заболеваниях (сепсис, ИНАН, сибирская язва, пираплазмидозы и др.).При этом эритроциты распадаются в кровеносном русле и продукты распада их фагоцитируются многими ретикулярными клетками различных органов и преобразуют его в гемосидерин. В результате органы приобретают ржаво-бурую окраску различной интенсивности, в зависимости от количества образовавшегося гемосидерина. Если организм не погибает от интоксикации, то гемосидерин в органах рассасывается бесследно (рис.10).

Рис.11. Гемосидероз почек.
Местный гемосидероз возникает при внесосудистом гемолизе эритроцитов, что отмечается при кровоизлияниях, и тогда местные ретикулярные клетки синтезируют гемосидерин и продукты распада эритроцитов. Участки эти выглядят бурыми или ржаво-бурыми пятнами (в органах и тканях называют их следами кровоизлияний). С течением времени он рассасывается и орган принимает нормальный цвет. Желчный пигмент (биллирубин) входит в состав желчи. Биллирубин продукт распада гемоглобина, образуется клетками ретикуло-эндотелиальной системы печени, селезенки, костного мозга и лимфатических узлов. В норме биллирубин образуется в печени и вместе с желчью поступает в желчный пузырь и кишечник. В патологических условиях биллирубин может поступать в кровь и окрашивать различные органы и ткани в желтый цвет. Желтая окраска органов и тканей носит название желтуха (рис.11).

Рис.12. Желтуха.
Желтуха как симптом характеризует целую группу инфекционных заболеваний (ИЭМ, лептоспироз, гемоспоридиоз и др.). При резко выраженной желтухе все органы и ткани (за исключением мозга) окрашиваются в желто-зеленый цвет; особенно ярко окрашиваются в желтый цвет слизистые оболочки, подкожная клетчатка, жировая ткань, интима сосудов и сердечных клапанов. При фиксации формалином ткани, пропитанные пигментами, приобретают зеленый цвет.
По этиологическими и патогенетическим признакам различают 3 вида желтухи:
- Механическая желтуха. Возникает при закупорке желчного протока желчными камнями или паразитами. Это самый токсичный вид желтухи, поскольку кроме биллирубина в крови, органах и тканях животного организма появляется желчная кислота.
- Паренхиматозная желтуха. Возникает при поражении печени.
- Гемолитическая желтуха. Возникает при гемолизе эритроцитов в кровеносном русле.
Гематоидин.
Этот пигмент появляется в патологических условиях. Как правило, в кровоизлияниях, в тромбах
в виде игольчатых единичных или множественных оранжево-зеленоватых кристаллов гематоидина.
|