2.9.1. Краткий теоретический курс
2.9.2. Лабораторный практикум
2.9.3. Тест самоконтроля
2.9.2. Лабораторный практикум по теме "Железы внутренней секреции"
Препарат 1. Гипофиз
(окраска: гематоксилин-эозин)
Отдельные доли гипофиза видны на препарате невооруженным взглядом. Самая крупная доля, темно-окрашенная, имеет полулунную форму и является передней долей, или
аденогипофизом. Наиболее бледно-окрашенная задняя доля, или нейрогипофиз. К нее с внутренней стороны прилегает в виде узкого темного ободка промежуточная доля.
Между промежуточной и передней долями видно щелевидное пространство или полость.
При большом увеличении слабо заметна соединительнотканная строма железы. Паренхима передней доли состоит из клеточных тяжей, хорошо видны расширенные синусоидные капилляры.
Клетки окрашиваются неоднородно. Бледные хромофобные клетки почти не воспринимают красители. Они мелкие, их границы видны нечетко. Хромофильные клетки хорошо окрашиваются разными
красителями и бывают ацидофильные (воспринимают кислые красители, в том числе эозин) и базофильные (воспринимают основные красители). Ацидофильные клетки выделяются крупными
размерами, красной окраской цитоплазмы. Базофильных клеток немного, они образуют очаговые скопления или гнезда. Промежуточная доля состоит из скопления однородных эпителиальных клеток.
Нейрогипофиз состоит из нейроглии, хорошо видна эпендима.
Зарисовать и обозначить:
 |
- передняя доля (аденогипофиз)
- промежуточная доля
- задняя доля (нейрогипофиз)
- эпендима
|
Препарат 2. Эпифиз (шишковидная железа)
(окраска: гематоксилин-эозин)
При малом увеличении на поверхности органа заметна капсула, она тонкая, образована соединительной тканью и представляет собой мягкую мозговую оболочку.
От капсулы внутрь органа отходят тонкие соединительнотканные перегородки, или септы. Они делят паренхиму железы на отдельные дольки и в них проходят кровеносные сосуды. Дольки формируют паренхиму органа
и состоят из клеток нейроглии. Более крупные среди глиальных клеток это пинеалоциты. Они являются железистыми клетками, имеют отростки и гранулы в цитоплазме.
С помощью отростков пинеалоциты контактируют с другими клетками нейроглии и с капиллярами.
На большом увеличении среди глиальных клеток видны тучные клетки, отличающиеся наличием в цитоплазме большого количества крупных гранул. В интерстиции можно обнаружить отложения
солей кальция, которые обозначаются как мозговой песок.
Зарисовать и обозначить:
 |
сверху малое увеличение
снизу большое увеличение
- капсула эпифиза
- соединительнотканные перегородки
- долька
- пинеалоциты
- глиальные клетки
- тучные клетки
- мозговой песок
|
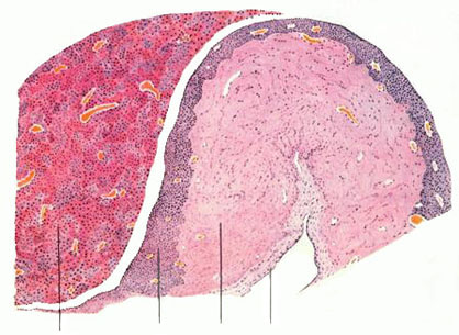
Препарат 3. Надпочечники
(окраска: железный гематоксилин по Гейденгайну)
Препарат представляет собой поперечный срез надпочечника. Орган снаружи покрыт соединительнотканной капсулой, от которой вглубь органа отходят соединительнотканные прослойки.
На поверхности капсулы можно обнаружить скопления ганглиозных клеток, нервные волокна, кровеносные сосуды и жировые клетки.
Под капсулой располагается корковое вещество, в центре мозговое вещество. Они имеюи разное происхождение и строение. В корковом
веществе, образованном эпителиальными клетками, можно различить три зоны.
Непосредственно под капсулой располагается клубочковая зона. При большом увеличении видно, что эта зона образована высокими цилиндрическими эпителиальными клетками
со светлой цитоплазмой. Клетки образуют тяжи, свернутые в виде арок и клубочков. Под клубочковой лежит широкая пучковая зона. Клетки здесь лежат тяжами, плотно примыкают друг к другу, образуя пучки.
В глубине коркового вещества находится сетчатая зона. Клетки здесь распложены неупорядочено, между ними заметны темные щели.
В мозговом веществе хорошо заметны кровеносные сосуды, клетки формируют переплетающиеся тяжи, темно окрашены. Клетки мелкие, с неясными границами.
Зарисовать и обозначить:
 |
- скопления ганглиозных клеток, пучок нервных
волокон и кровеносные сосуды
- капсула надпочечника
- корковое вещество (интерреналовая система)
- клубочковая зоны
- пучковая зона
- сетчатая зона
- соединительнотканные прослойки
- мозговое вещество (адреналогенная система
- синусоидные капилляры
|
Препарат 4. Щитовидная и околощитовидная железы
(окраска: гематоксилин-эозин)
Поверхность щитовидной железы покрыта капсулой из плотной соединительной ткани.
От капсулы внутрь железы отходят соединительнотканные перегородки, делящие паренхиму железы на дольки.
От междольковых соединительнотканных прослоек отходят очень тонкие внутридольковые прослойки, проходящие
между фолликулами. В соединительной ткани проходят кровеносные сосуды.
Паренхима образует фолликулы и межфолликулярные островки. Фолликулы имеют вид пузырьков, стенка которых образована
однослойным кубическим или цилиндрическим эпителием. Эти секреторные клетки вырабатывают гормоны и называются тиреоциты.
Полость фолликулов заполнена коллоидом. Между фолликулами находятся скопления клеток в виде межфолликулярных островков.
В паренхиме щитовидной железы можно обнаружить околощитовидную железу. Она окружена тонкой соединительнотканной капсулой,
от которой отходят нежные перегородки из соединительной ткани с кровеносными сосудами. Паренхима образована тяжами эпителиальных
клеток.
Зарисовать и обозначить:
 |
- волокнистая капсула
- соединительнотканные междольковые перегородки
- кровеносные сосуды
- фолликулы щитовидной железы
- коллоид щитовидной железы
- тиреоидные клетки фолликула
- межфолликулярные островки
- околощитовидная железа
|
КОНТРОЛЬНЫЕ ВОПРОСЫ
- Дайте общую морфофункциональную характеристику железам внутренней секреции.
- Каковы принципы строения и функционирования эндокринных желез?
- Опишите происхождение, топографию и анатомо-гистологическое строение гипофиза.
- Какие типы клеток формирует аденогипофиз и какие гормоны он продуцируют?
- Чем характеризуется нейрогипофиз?
- Чем характеризуется эпифиз, его строение, топография и функции?
- Опишите анатомо-гистологическое строение, топографию и функции щитовидной и околощитовидной железы.
- Каким образом изменяется структура щитовидной железы при пониженной и повышенной функции?
- Дайте анатомо-гистологическую характеристику надпочечников и функции его гормонов.
|